

















| 应用 | 已检合格种属 | 预测种属 | 推荐稀释比例 |
|---|---|---|---|
| WB | Human | Mouse, Rat, Rabbit, Chicken, Dog | 1:500-2000 |
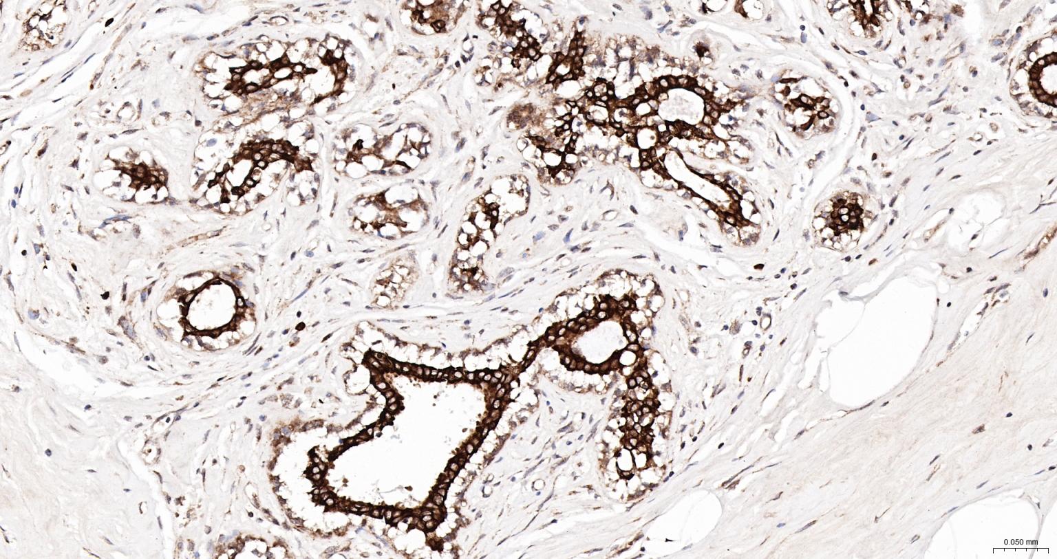
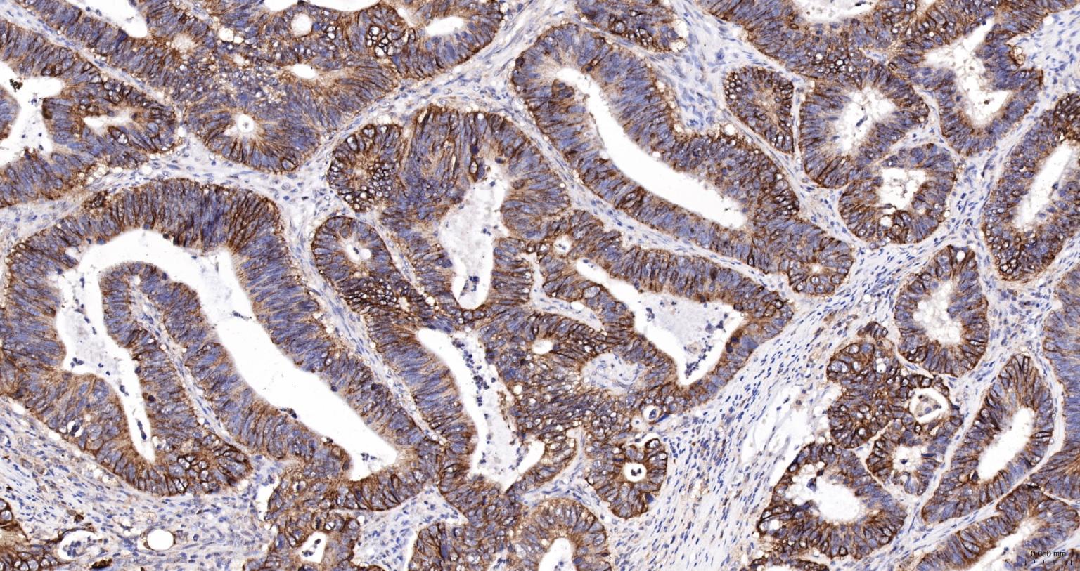
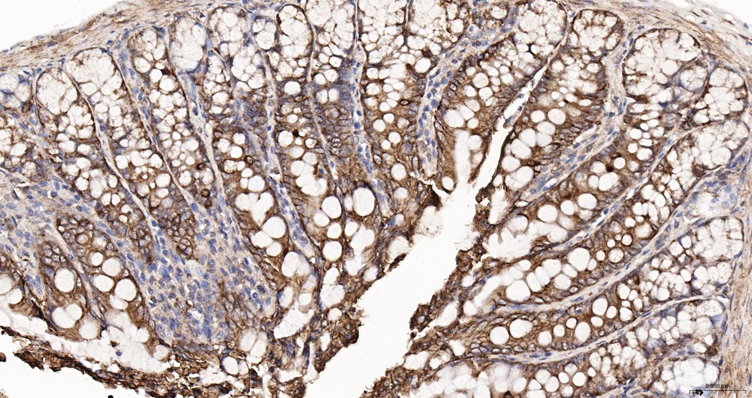
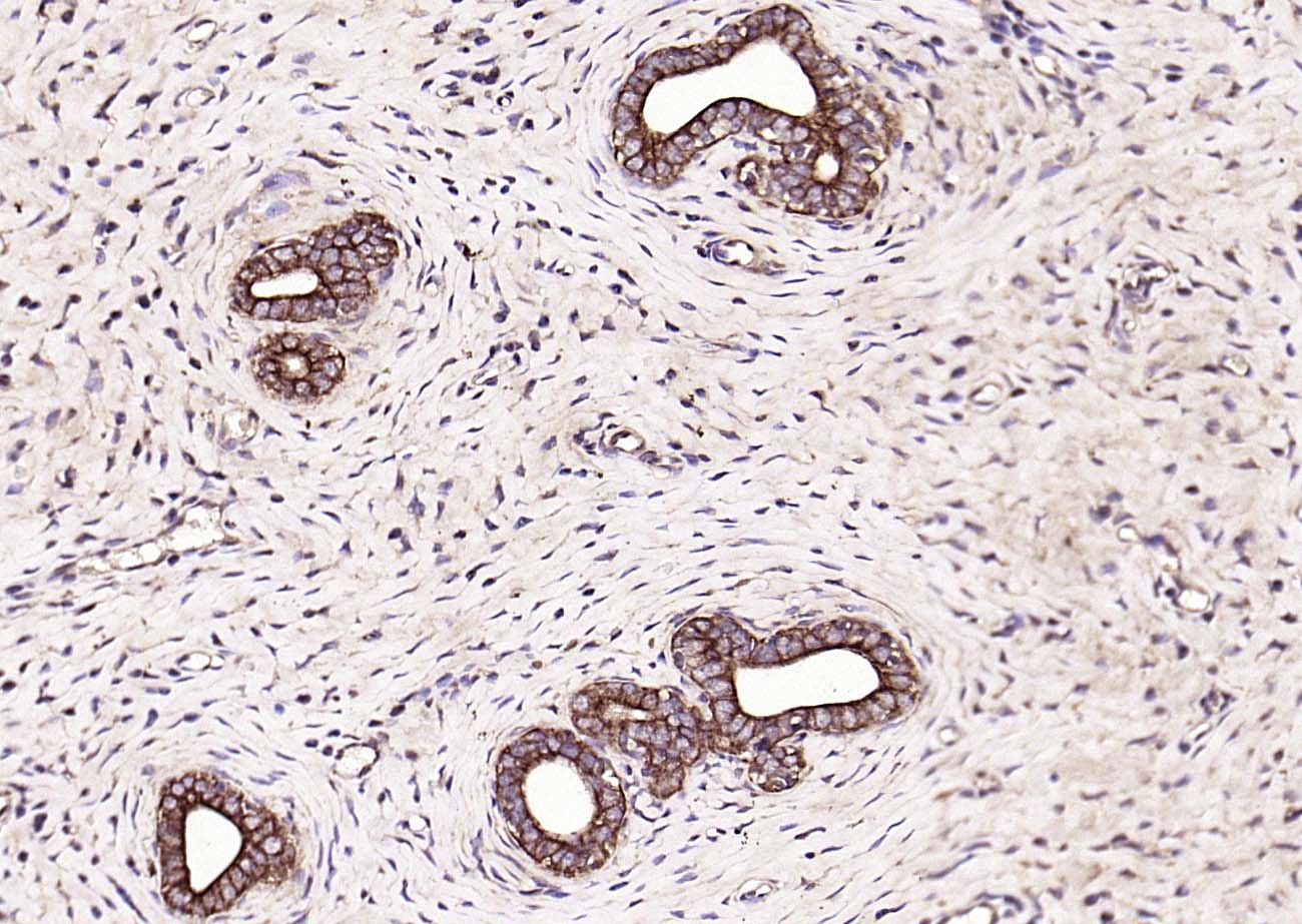
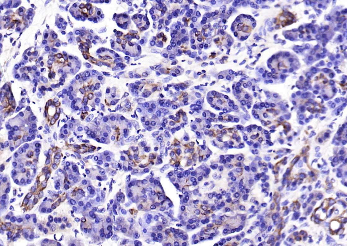
| IHC-P | Human, Mouse, Rat | Rabbit, Chicken, Dog | 1:100-500 |
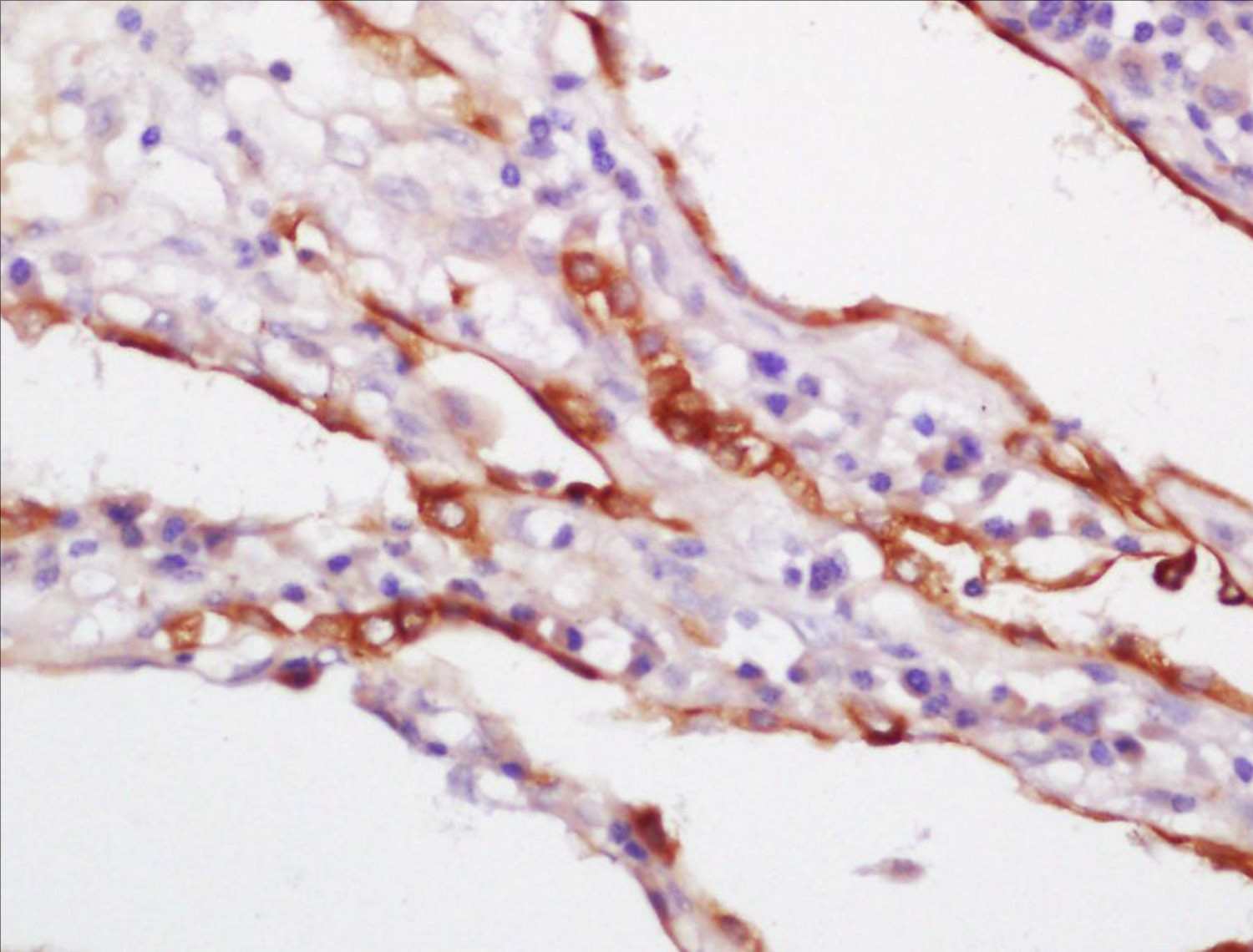
| IHC-F | Human, Mouse, Rat | Rabbit, Chicken, Dog | 1:100-500 |
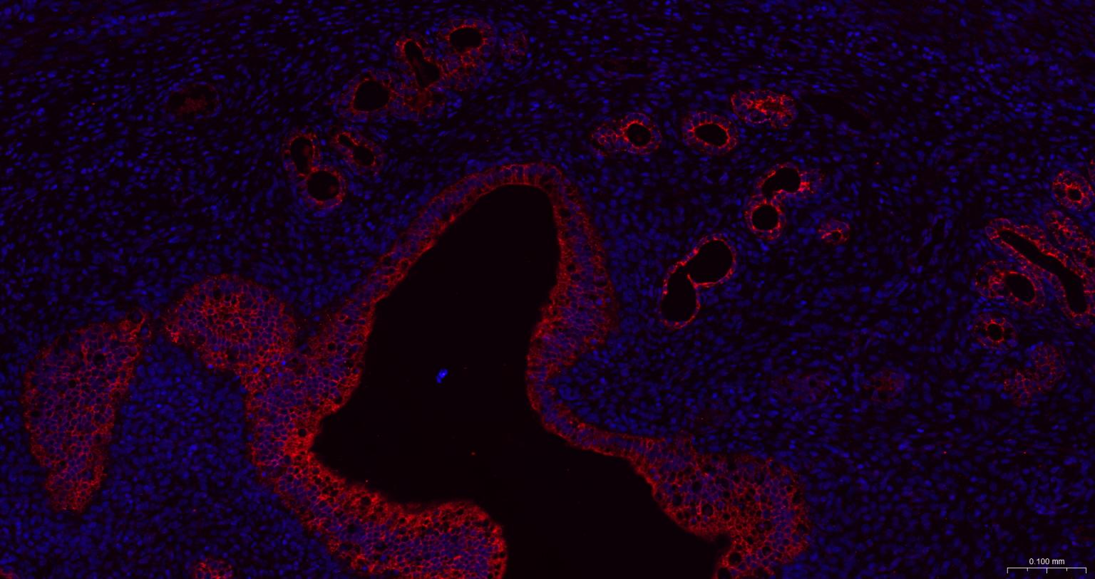
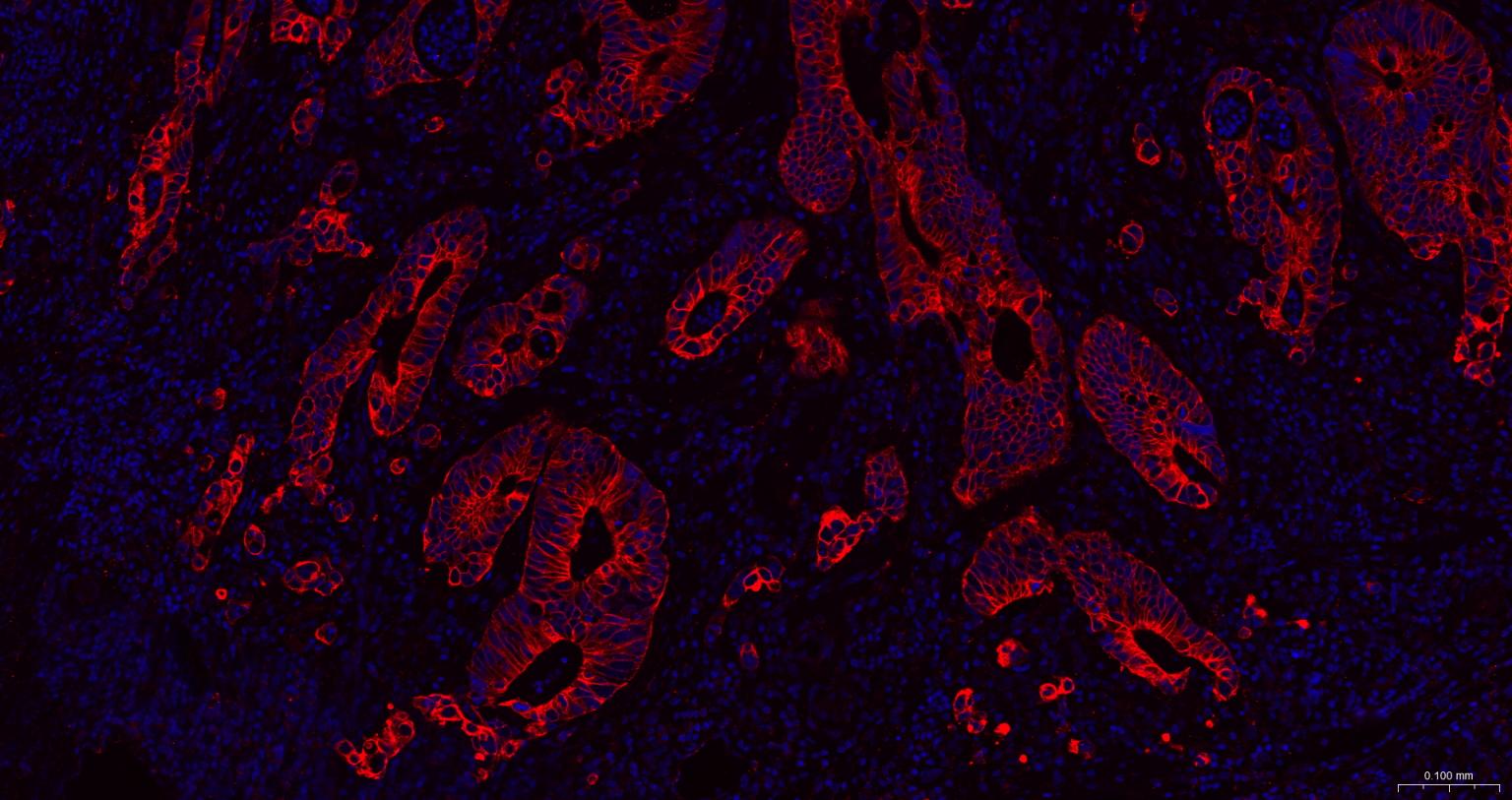
| IF | Human, Mouse, Rat | Rabbit, Chicken, Dog | 1:100-500 |
| Flow-Cyt | Human | Mouse, Rat, Rabbit, Chicken, Dog | 0.2μg /test |
| ICC/IF | Human | Mouse, Rat, Rabbit, Chicken, Dog | 1:100-500 |
交叉反应: Human, Mouse, Rat (predicted: Rabbit, Chicken, Dog)
暂无相关产品