糖蛋白33抗体

2026-03-02~2026-04-30,KXJ26032026-03-02~2026-04-30,促销赠品
糖蛋白33抗体
货号:bs-1226R
产品详情
相关标记
相关产品
相关文献
常见问题

概述

产品编号
bs-1226R
英文名称
GPA33 Rabbit pAb
中文名称
糖蛋白33抗体
英文别名
A33; GPA33_HUMAN; GPA33; Glycoprotein A33;
抗体来源
Rabbit
免疫原
KLH conjugated synthetic peptide derived from human GPA33: 151-280/319
亚型
IgG
性状
Liquid
纯化方法
affinity purified by Protein A
克隆类型
Polyclonal
理论分子量
33 kDa
浓度
1mg/ml
储存液
0.01M TBS (pH7.4) with 1% BSA, 0.02% Proclin300 and 50% Glycerol.
SWISS
Gene ID
保存条件
Shipped at 4℃. Store at -20℃ for one year. Avoid repeated freeze/thaw cycles.
注意事项
This product as supplied is intended for research use only, not for use in human, therapeutic or diagnostic applications.
产品介绍
GPA33是胃肠道上皮细胞特异性表达的跨膜糖蛋白,在95%以上的大肠癌、63%的胃癌和50%的胰腺癌中表达。
背景资料
The glycoprotein encoded by this gene is a cell surface antigen that is expressed in greater than 95% of human colon cancers. The open reading frame encodes a 319-amino acid polypeptide having a putative secretory signal sequence and 3 potential glycosylation sites. The predicted mature protein has a 213-amino acid extracellular region, a single transmembrane domain, and a 62-amino acid intracellular tail. The sequence of the extracellular region contains 2 domains characteristic of the CD2 subgroup of the immunoglobulin (Ig) superfamily. [provided by RefSeq, Jul 2008]
糖蛋白33抗体糖蛋白33抗体糖蛋白33抗体糖蛋白33抗体

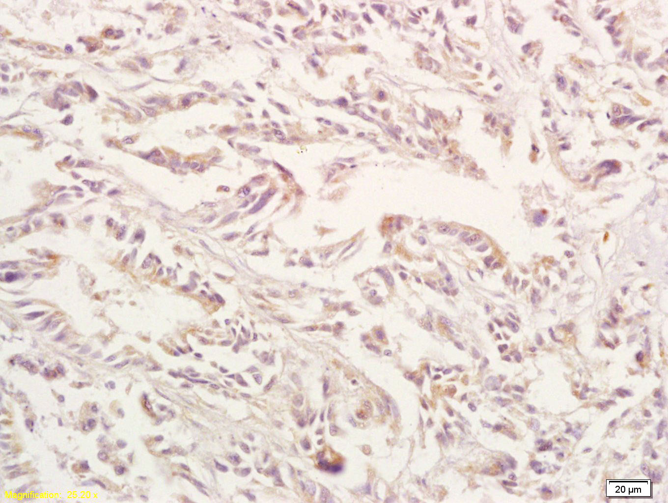
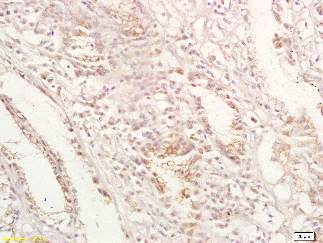
产品应用

应用已检合格种属预测种属推荐稀释比例
WBRatHuman, Mouse1:500-2000
IHC-PHumanMouse, Rat1:100-500
IHC-FHumanMouse, Rat1:100-500
IFHumanMouse, Rat1:100-500

交叉反应

交叉反应: Human, Rat (predicted: Mouse)

相关产品

暂无相关产品

靶标

基因名
GPA33
蛋白名
Cell surface A33 antigen
亚细胞定位
Membrane; Single-pass type I membrane protein.
组织特异性
Expressed in normal gastrointestinal epithelium and in 95% of colon cancers.
翻译后修饰
N-glycosylated, contains approximately 8 kDa of N-linked carbohydrate.
Palmitoylated.
相似性
Contains 1 Ig-like C2-type (immunoglobulin-like) domain.
Contains 1 Ig-like V-type (immunoglobulin-like) domain.
功能
May play a role in cell-cell recognition and signaling.

标记抗体

暂无标记数据

同靶标产品

暂无同靶标产品

相关文献

提示: 发表研究结果有使用 bs-1226R 时请让我们知道,以便我们可以引用参考文章。作为回馈,资料提供者将获得我们送上的小礼品。
具体参考文献:bs-1226R 被引用于1文献中

暂无相关文献

常见问题

暂无常见问题