



| 应用 | 已检合格种属 | 预测种属 | 推荐稀释比例 |
|---|---|---|---|
| WB | Human | Mouse, Rat, Rabbit, Pig, Sheep, Chicken, GuineaPig | 1:500-2000 |
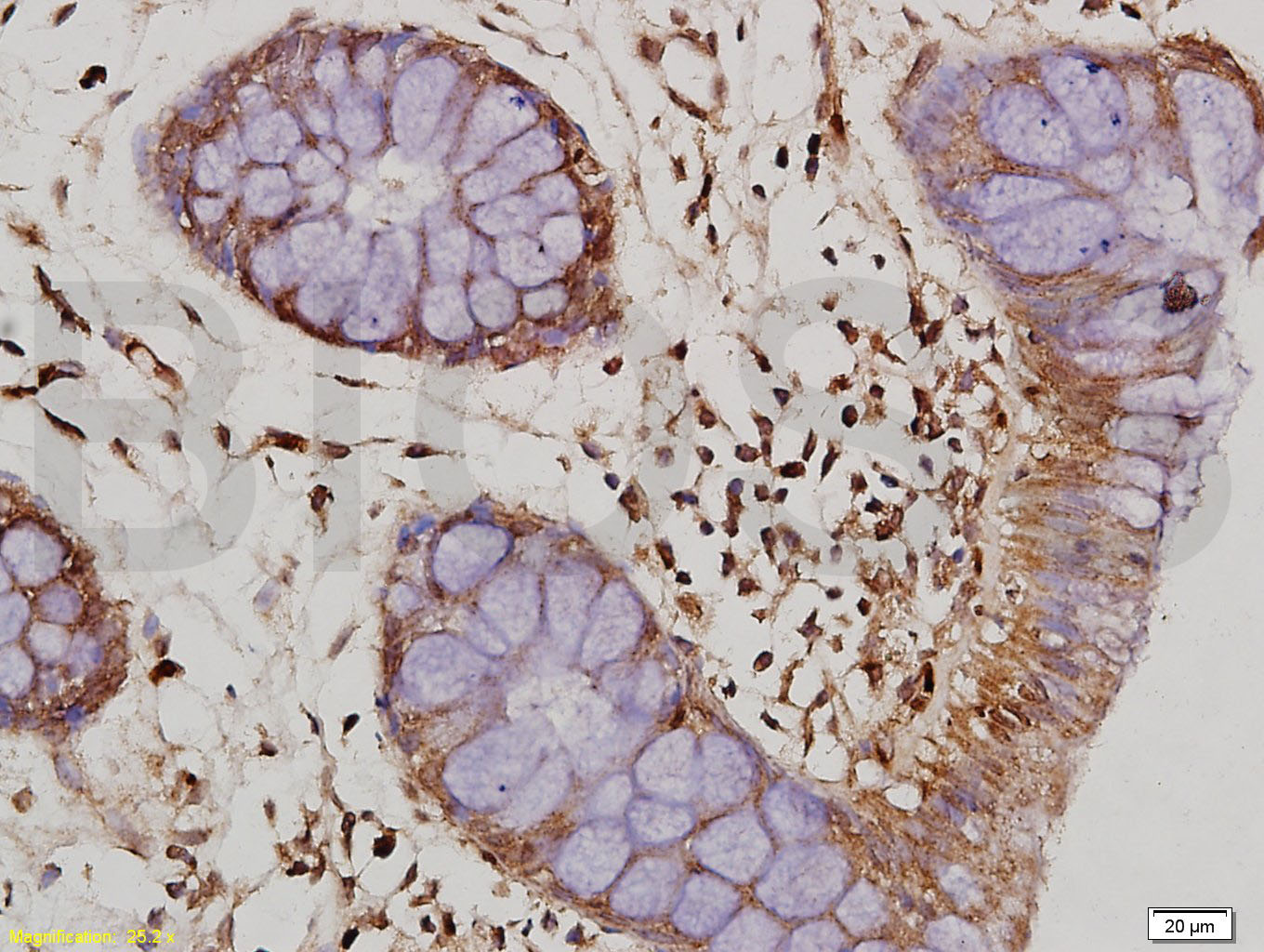
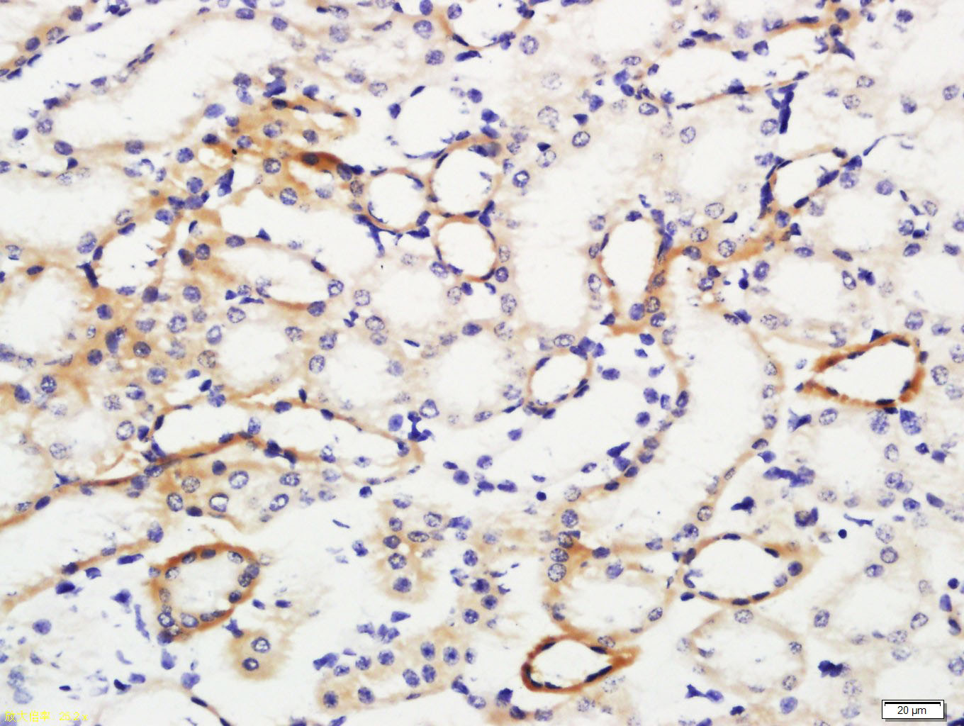
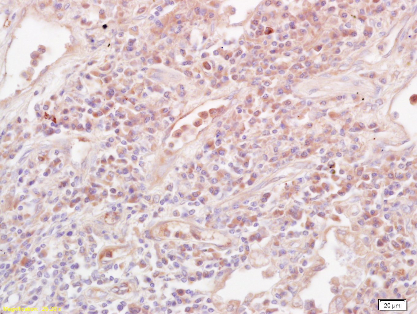
| IHC-P | Human, Mouse | Rat, Rabbit, Pig, Sheep, Chicken, GuineaPig | 1:100-500 |
| IHC-F | Human, Mouse | Rat, Rabbit, Pig, Sheep, Chicken, GuineaPig | 1:100-500 |
| IF | Human, Mouse | Rat, Rabbit, Pig, Sheep, Chicken, GuineaPig | 1:100-500 |
交叉反应: Human, Mouse (predicted: Rat, Rabbit, Pig, Sheep, Chicken, GuineaPig)
暂无相关产品