CD206 Recombinant Rabbit mAb (一抗) - IHC-P,IHC-F,IF,ICC/IF | Bioss

Rrmab?兔单抗
2026-05-01~2026-06-30,AB2605
CD206 Recombinant Rabbit mAb (一抗) - IHC-P,IHC-F,IF,ICC/IF | Bioss
货号:bsm-60761R
产品详情
相关标记
相关产品
相关文献
常见问题

概述

产品编号
bsm-60761R
产品类型
重组兔单抗、mIHC精品抗体
英文名称
CD206 Recombinant Rabbit mAb
中文名称
巨噬细胞甘露糖受体 (CD206) 重组兔单抗
英文别名
CD206; CLEC13D; CLEC13DL; MMR; MRC1L1; bA541I19.1; hMR; MR; MRC1_HUMAN; MRC1; C-type lectin domain family 13 member D; C-type lectin domain family 13 member D-like; Human mannose receptor (hMR); Macrophage mannose receptor 1-like protein 1; MRC1_MOUSE; mannose receptor C-type 1; mannose receptor, C type 1-like 1; mannose receptor, C type 1; macrophage mannose receptor
抗体来源
Rabbit
免疫原
KLH conjugated synthetic peptide derived from human CD206
亚型
IgG
性状
Liquid
纯化方法
affinity purified by Protein A
克隆类型
Recombinant
克隆号
12A3
理论分子量
160 kDa
浓度
1mg/ml
储存液
PBS, Glycerol, BSA.
SWISS
Gene ID
保存条件
Shipped at 4℃. Store at -20℃ for one year. Avoid repeated freeze/thaw cycles.
注意事项
This product as supplied is intended for research use only, not for use in human, therapeutic or diagnostic applications.
产品介绍
巨噬细胞甘露糖受体,主要存在于巨噬细胞膜表面的模式识别受体,能够特异性识别甘露糖、岩藻糖或N-乙酰葡糖胺,介导巨噬细胞吞噬抗原,启动免疫反应.
背景资料
The recognition of complex carbohydrate structures on glycoproteins is an important part of several biological processes, including cell-cell recognition, serum glycoprotein turnover, and neutralization of pathogens. The protein encoded by this gene is a type I membrane receptor that mediates the endocytosis of glycoproteins by macrophages. The protein has been shown to bind high-mannose structures on the surface of potentially pathogenic viruses, bacteria, and fungi so that they can be neutralized by phagocytic engulfment. This gene is in close proximity to MRC1L1. The gene loci including this gene, MRC1L1, as well as LOC340843 and LOC340893, consist of two nearly identical, tandemly linked genomic regions, which are thought to be a part of a duplicated region. [provided by RefSeq].
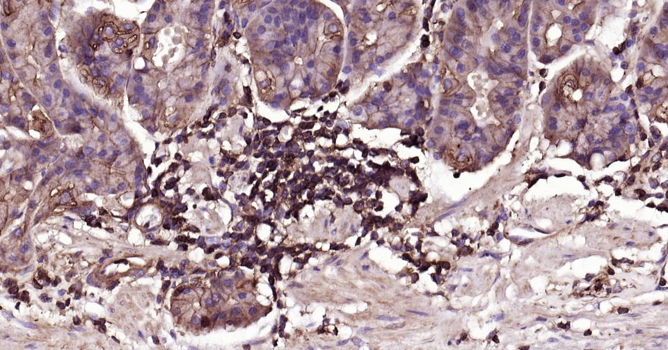
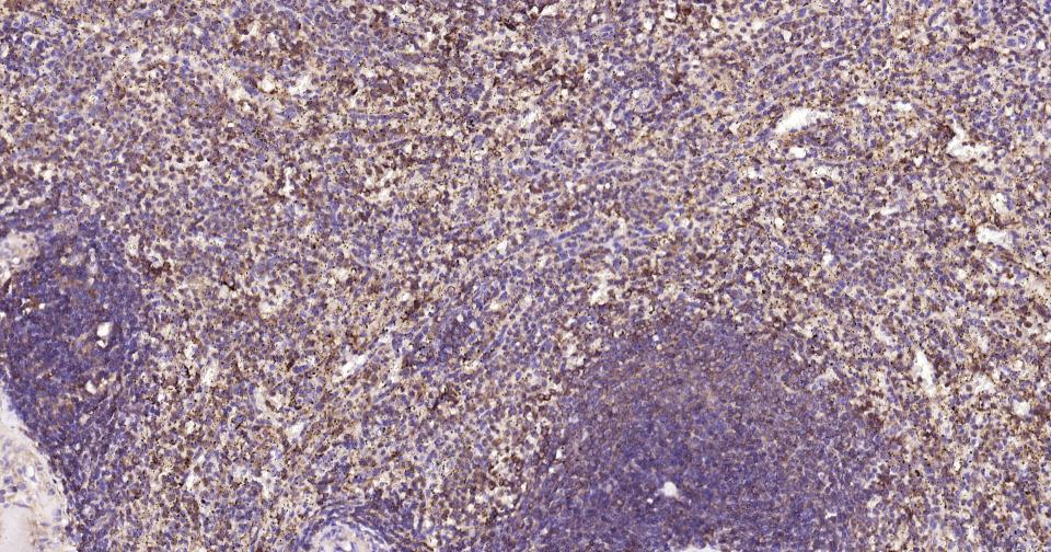
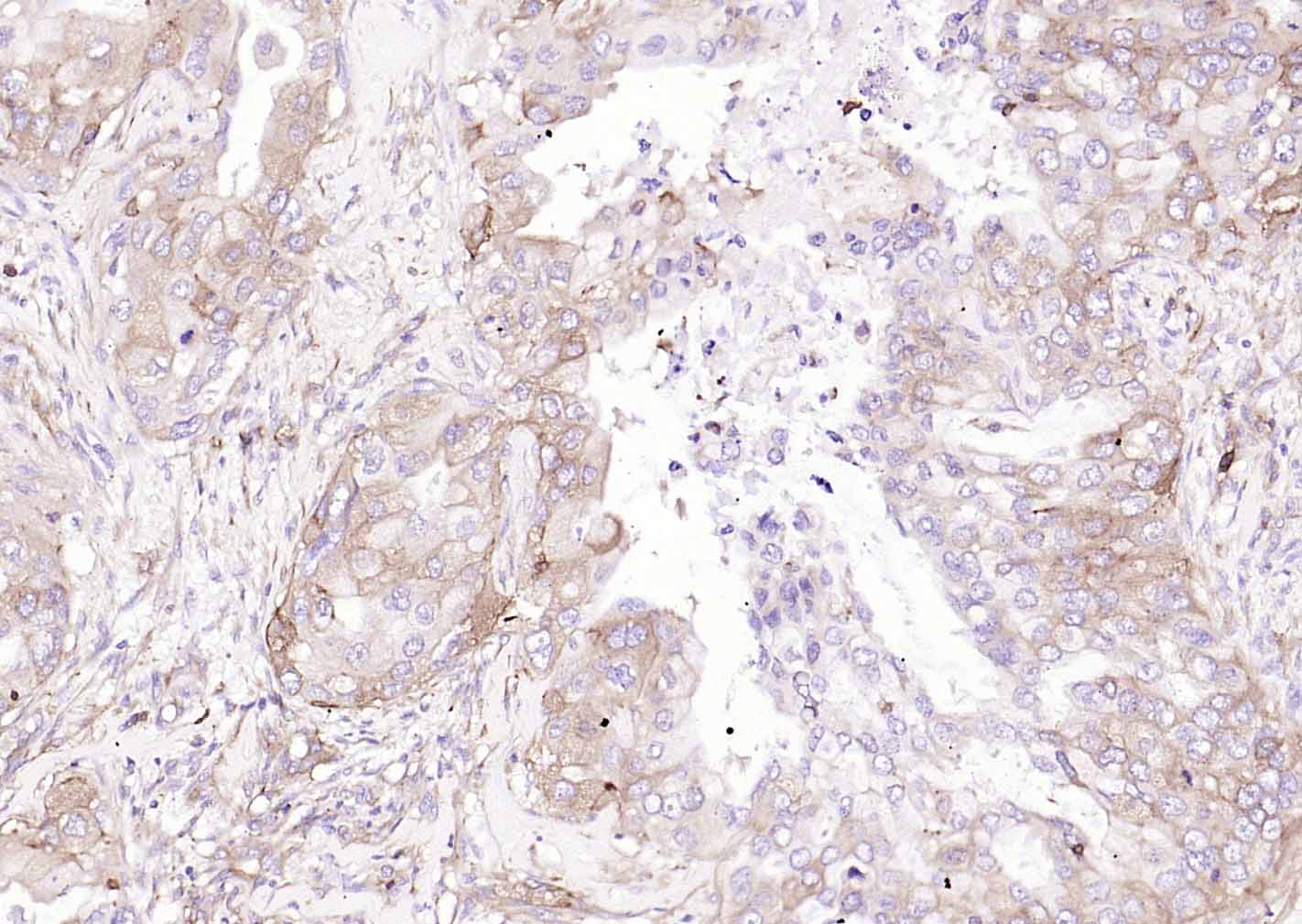
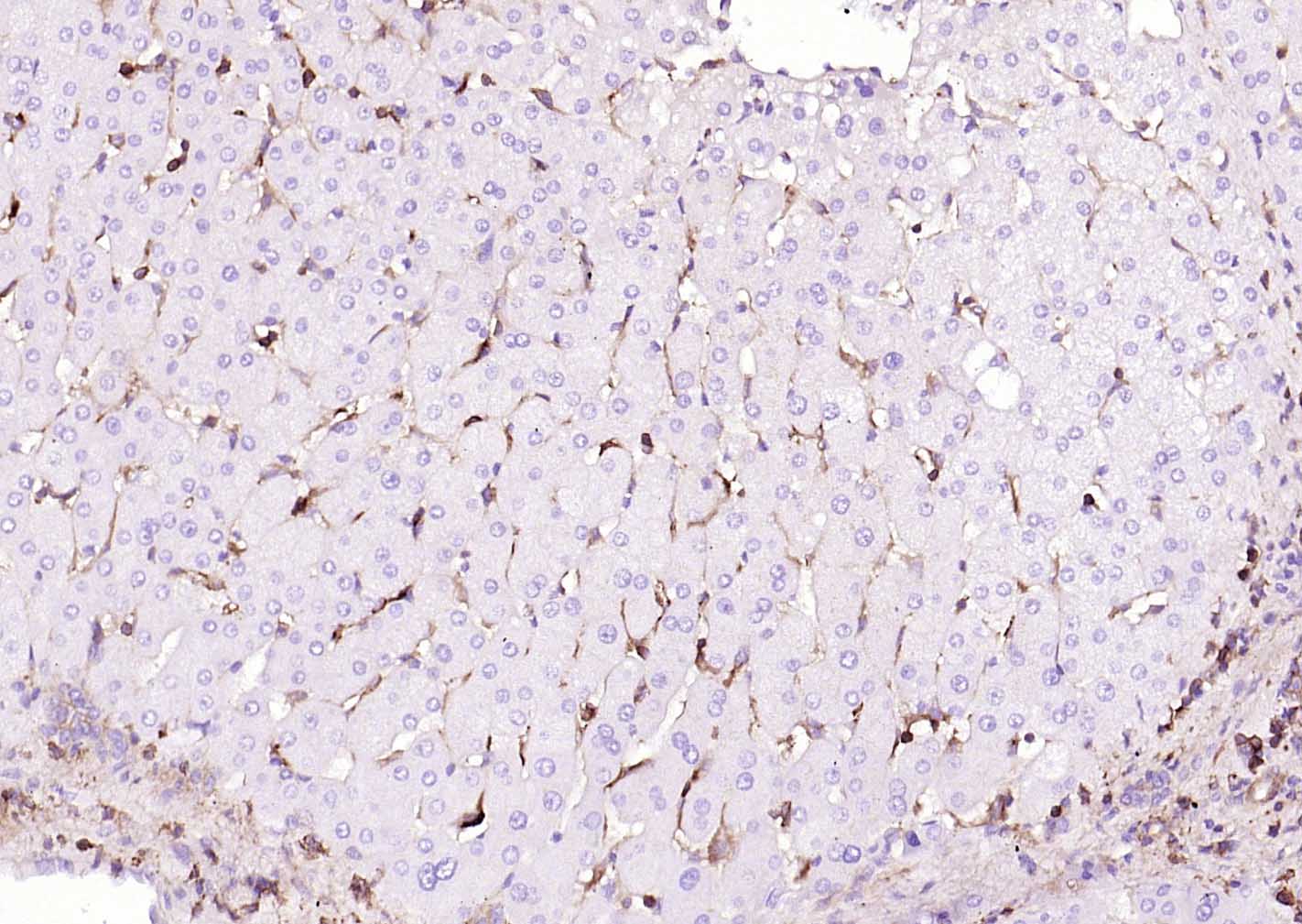
巨噬细胞甘露糖受体 (CD206) 重组兔单抗-bsm-60761R巨噬细胞甘露糖受体 (CD206) 重组兔单抗-bsm-60761R巨噬细胞甘露糖受体 (CD206) 重组兔单抗-bsm-60761R巨噬细胞甘露糖受体 (CD206) 重组兔单抗-bsm-60761R巨噬细胞甘露糖受体 (CD206) 重组兔单抗-bsm-60761R巨噬细胞甘露糖受体 (CD206) 重组兔单抗-bsm-60761R巨噬细胞甘露糖受体 (CD206) 重组兔单抗-bsm-60761R巨噬细胞甘露糖受体 (CD206) 重组兔单抗-bsm-60761R

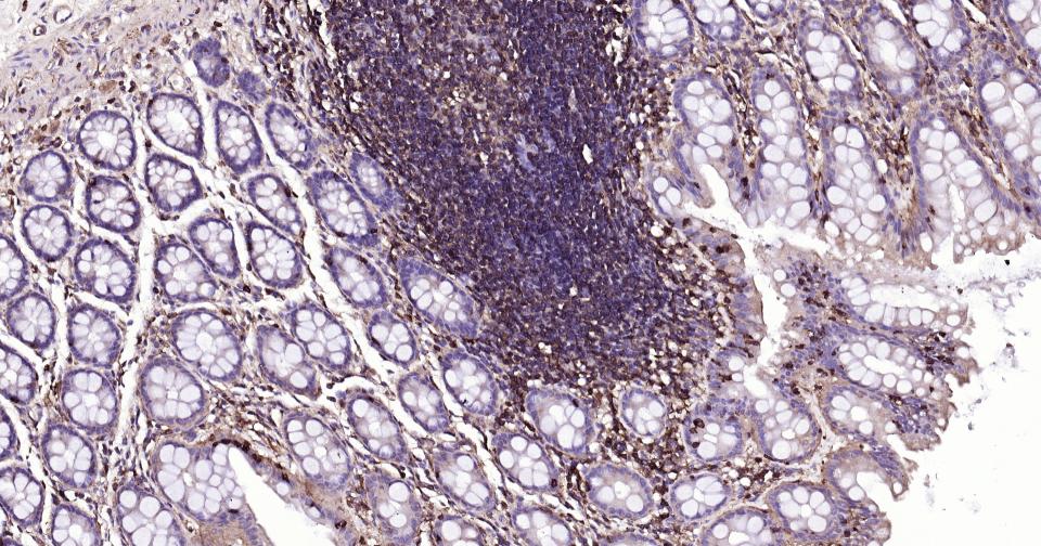
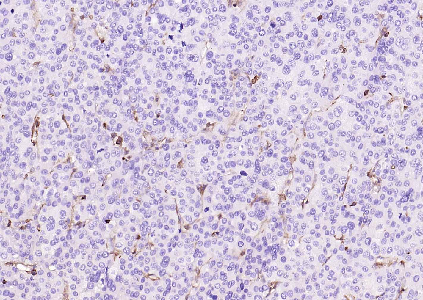
产品应用

应用已检合格种属预测种属推荐稀释比例
IHC-PHuman1:200-1000
IHC-FHuman1:200-1000
IFHuman1:200-1000
ICC/IFHuman1:50-200

交叉反应

交叉反应: Human

相关产品

暂无相关产品

靶标

基因名
MRC1
蛋白名
Macrophage mannose receptor 1
亚细胞定位
Endosome membrane; Single-pass type I membrane protein. Cell membrane; Single-pass type I membrane protein.
相似性
Contains 8 C-type lectin domains.
Contains 1 fibronectin type-II domain.
[SIMILARITY] Contains 1 ricin B-type lectin domain.
功能
Mediates the endocytosis of glycoproteins by macrophages. Binds both sulfated and non-sulfated polysaccharide chains. Acts as phagocytic receptor for bacteria, fungi and other pathogens.

同靶标产品

相关文献

提示: 发表研究结果有使用 bsm-60761R 时请让我们知道,以便我们可以引用参考文章。作为回馈,资料提供者将获得我们送上的小礼品。
具体参考文献:bsm-60761R 被引用于25文献中

常见问题