

















| 应用 | 已检合格种属 | 预测种属 | 推荐稀释比例 |
|---|---|---|---|
| WB | Human, Mouse, Rat | Rabbit, Pig, Sheep, Chicken, Dog, Cat, Hamster, GuineaPig, Fish, Bee | 1:5000-50000 |
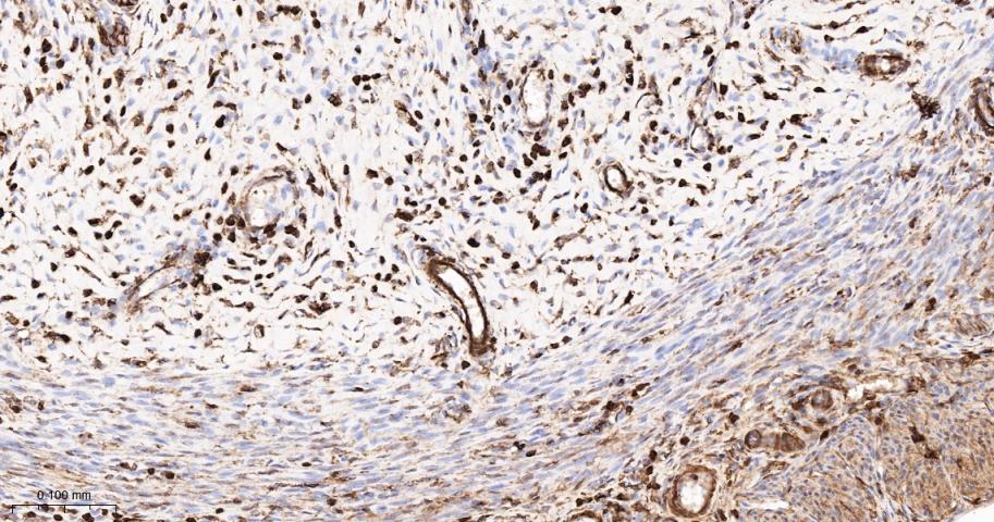
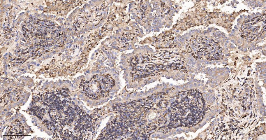
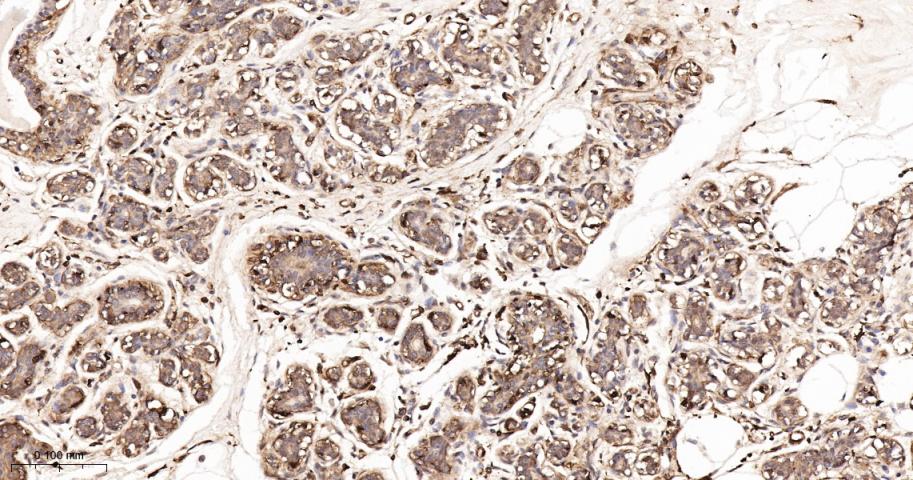
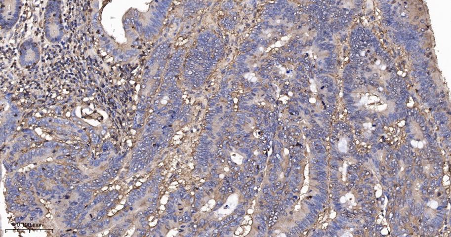
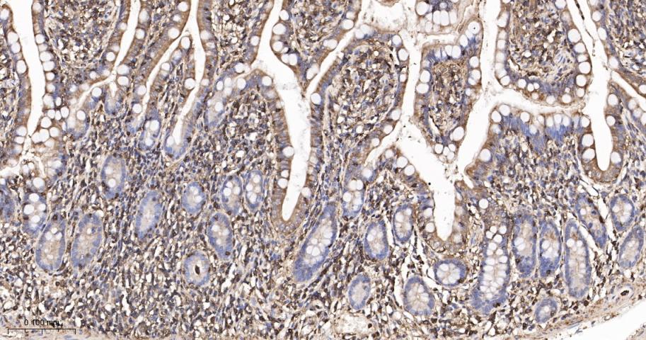
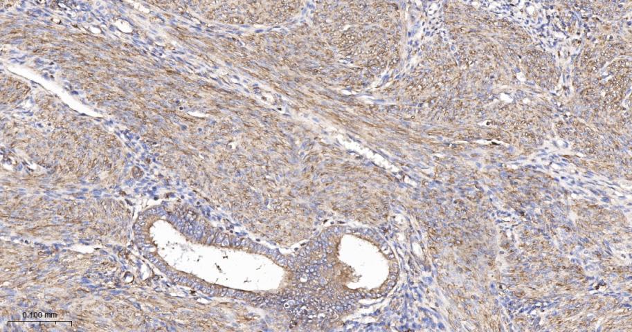
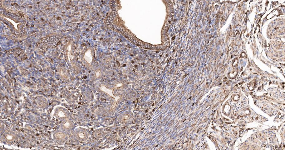
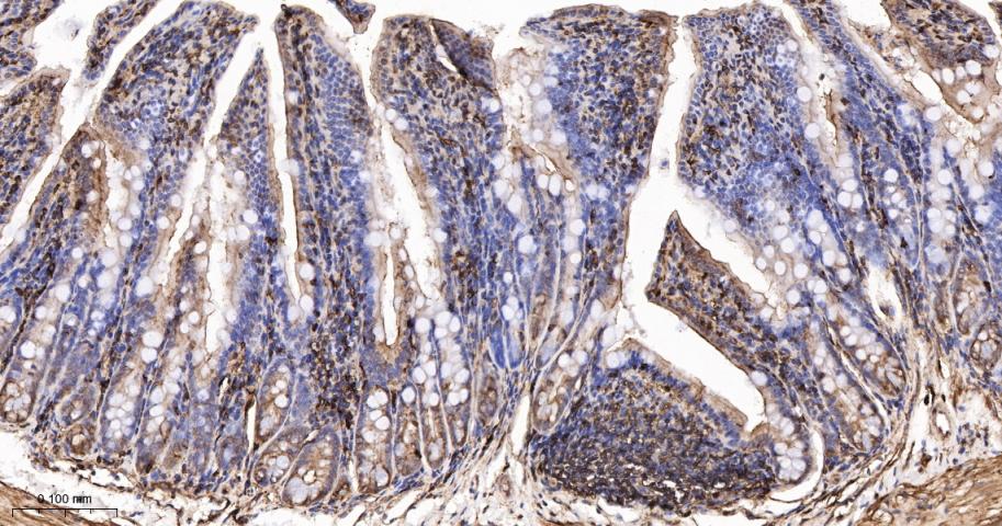
| IHC-P | Human, Mouse, Rat | Rabbit, Pig, Sheep, Chicken, Dog, Cat, Hamster, GuineaPig, Fish, Bee | 1:200-1000 |
| IHC-F | Human, Mouse, Rat | Rabbit, Pig, Sheep, Chicken, Dog, Cat, Hamster, GuineaPig, Fish, Bee | 1:200-1000 |
| IF | Human, Mouse, Rat | Rabbit, Pig, Sheep, Chicken, Dog, Cat, Hamster, GuineaPig, Fish, Bee | 1:200-1000 |
| Flow-Cyt | Human | Mouse, Rat, Rabbit, Pig, Sheep, Chicken, Dog, Cat, Hamster, GuineaPig, Fish, Bee | 1μg/Test |
| ICC/IF | Human | Mouse, Rat, Rabbit, Pig, Sheep, Chicken, Dog, Cat, Hamster, GuineaPig, Fish, Bee | 1:100-500 |
交叉反应: Human, Mouse, Rat (predicted: Rabbit, Pig, Sheep, Chicken, Dog, Cat, Hamster, GuineaPig, Fish, Bee)
暂无相关产品
暂无标记数据
暂无同靶标产品
暂无相关文献
暂无常见问题