


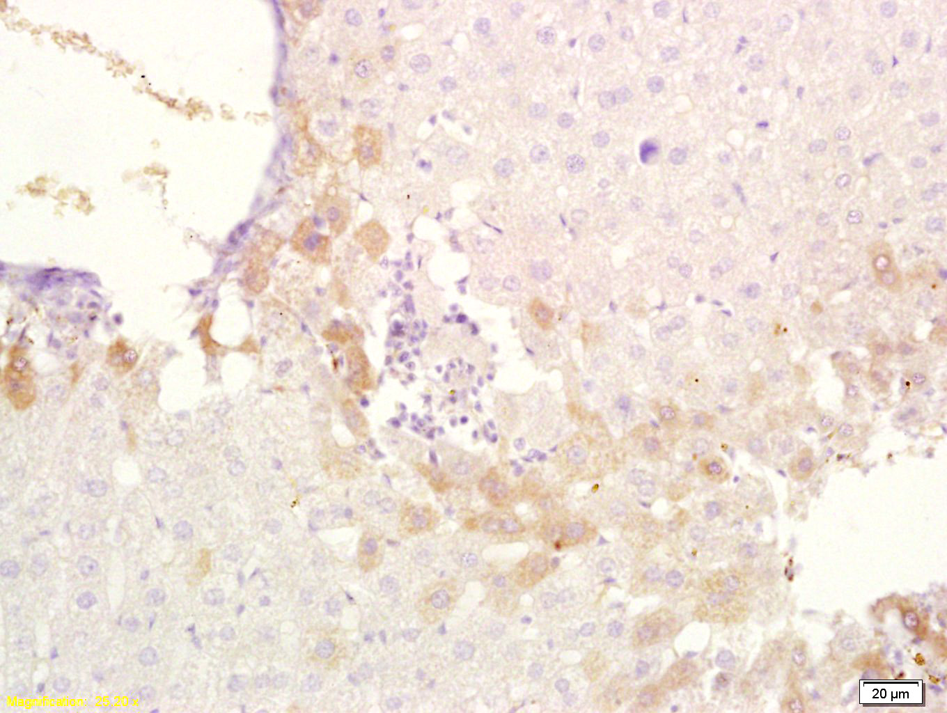
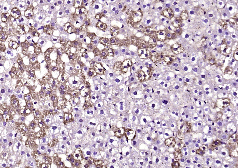
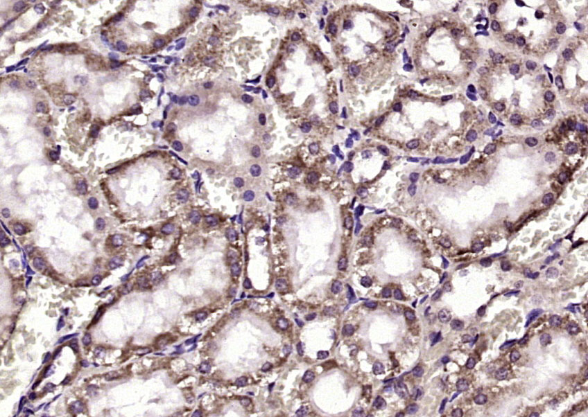
| 应用 | 已检合格种属 | 预测种属 | 推荐稀释比例 |
|---|---|---|---|
| IHC-P | Rat | Human, Mouse, Pig, Cow, Dog, GuineaPig, Horse | 1:100-500 |
| IHC-F | Rat | Human, Mouse, Pig, Cow, Dog, GuineaPig, Horse | 1:100-500 |
| IF | Rat | Human, Mouse, Pig, Cow, Dog, GuineaPig, Horse | 1:100-500 |
交叉反应: Rat (predicted: Human, Mouse, Pig, Cow, Dog, GuineaPig, Horse)
暂无相关产品