CD163 Rabbit pAb (一抗) - WB,IHC-P,IHC-F,IF | Bioss

2026-05-01~2026-06-30,AB2605
CD163 Rabbit pAb (一抗) - WB,IHC-P,IHC-F,IF | Bioss
货号:bs-2527R
产品详情
相关标记
相关产品
相关文献
常见问题

概述

产品编号
bs-2527R
英文名称
CD163 Rabbit pAb
中文名称
CD163抗体
英文别名
M130; MM130; SCARI1; C163A_HUMAN; CD163; Hemoglobin scavenger receptor; CD163 molecule; CD163 antigen
抗体来源
Rabbit
免疫原
KLH conjugated synthetic peptide derived from human CD163: 1001-1121/1156 <Extracellular>
亚型
IgG
性状
Liquid
纯化方法
affinity purified by Protein A
克隆类型
Polyclonal
理论分子量
130 kDa
检测分子量
170 kDa
浓度
1mg/ml
储存液
0.01M TBS (pH7.4) with 1% BSA, 0.02% Proclin300 and 50% Glycerol.
SWISS
Gene ID
保存条件
Shipped at 4℃. Store at -20℃ for one year. Avoid repeated freeze/thaw cycles.
注意事项
This product as supplied is intended for research use only, not for use in human, therapeutic or diagnostic applications.
产品介绍
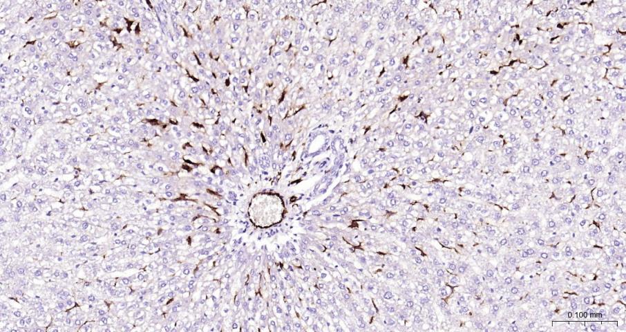
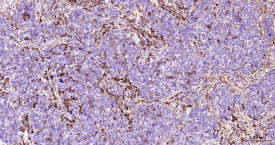
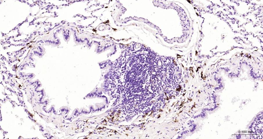
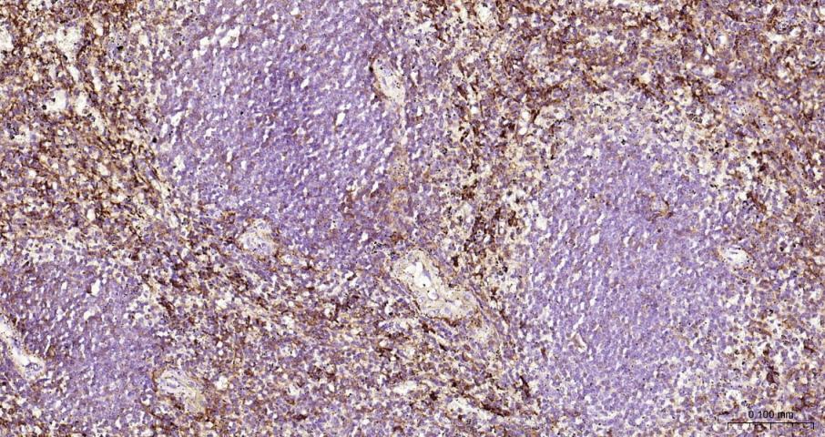
CD163是SRCR超家族成员之一,又称为血红蛋白清道夫受体(hemoglobin scavenger receptor, HbSR)、M130或p155。CD163的表达水平受很多因素调节,糖皮质激素及抗炎介质如IL-10以及IL-6能上调CD163, 而促炎介质如脂多糖(lipopolysaccharide, LPS)、γ-干扰素(interferon-γ, IFN-γ)以及TNF-α则抑制CD163表达。 CD163是一种I型膜蛋白,又称为M130抗原、Ber-Mac3、Ki-M8或SM4。CD163限制性表达于单核/巨噬细胞系,所有循环系统的单核细胞和大多数组织(除外淋巴滤泡套区和生发中心)的巨噬细胞均阳性表达,主要用于单核/巨噬细胞的检测。
背景资料
The protein encoded by this gene is a member of the scavenger receptor cysteine-rich (SRCR) superfamily, and is exclusively expressed in monocytes and macrophages. It functions as an acute phase-regulated receptor involved in the clearance and endocytosis of hemoglobin/haptoglobin complexes by macrophages, and may thereby protect tissues from free hemoglobin-mediated oxidative damage. This protein may also function as an innate immune sensor for bacteria and inducer of local inflammation. Alternatively spliced transcript variants encoding different isoforms have been described for this gene. [provided by RefSeq, Aug 2011]
CD163抗体-bs-2527RCD163抗体-bs-2527RCD163抗体-bs-2527RCD163抗体-bs-2527RCD163抗体-bs-2527RCD163抗体-bs-2527RCD163抗体-bs-2527RCD163抗体-bs-2527RCD163抗体-bs-2527RCD163抗体-bs-2527RCD163抗体-bs-2527RCD163抗体-bs-2527RCD163抗体-bs-2527RCD163抗体-bs-2527RCD163抗体-bs-2527RCD163抗体-bs-2527RCD163抗体-bs-2527RCD163抗体-bs-2527R

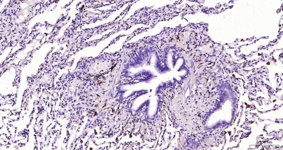
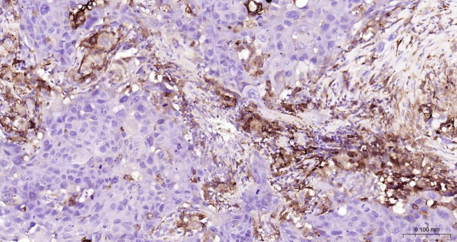
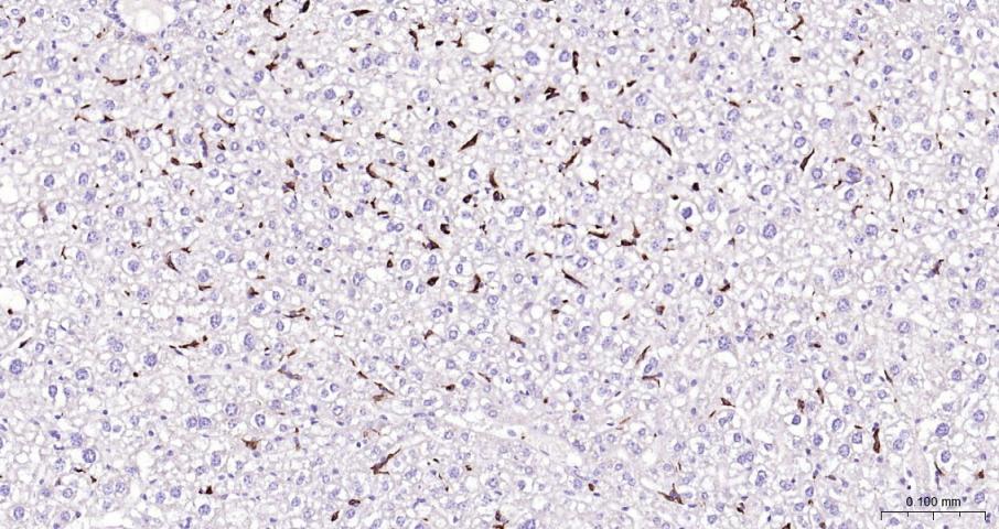
产品应用

应用已检合格种属预测种属推荐稀释比例
WBHuman, RatMouse1:500-2000
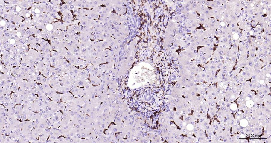
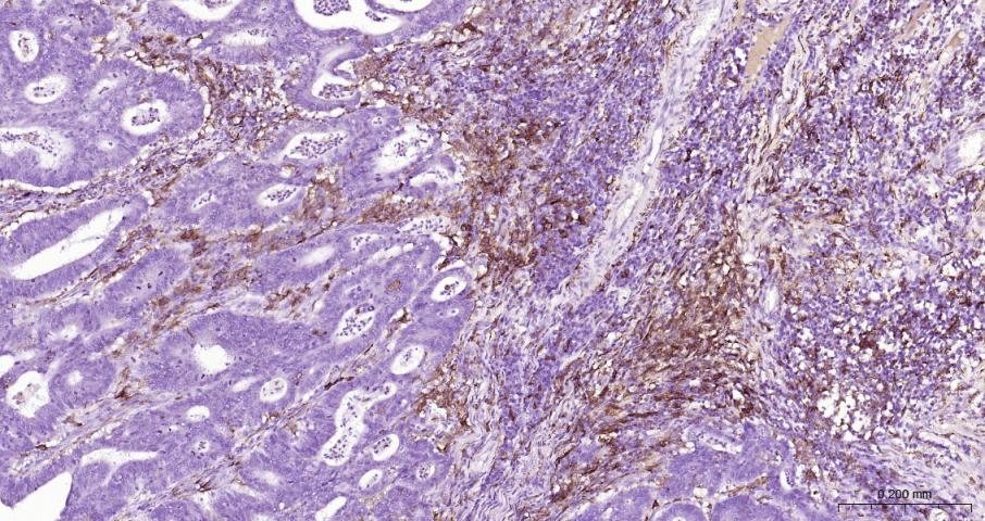
IHC-PHuman, Mouse, Rat1:100-500
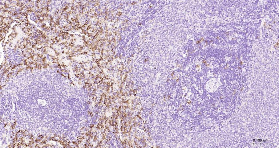
IHC-FHuman, Mouse, Rat1:100-500
IFHuman, Mouse, Rat1:100-500

交叉反应

交叉反应: Human, Mouse, Rat

相关产品

暂无相关产品

靶标

基因名
CD163
蛋白名
Scavenger receptor cysteine-rich type 1 protein M130
亚细胞定位
Secreted and Cell membrane. Isoform 1 and isoform 2 show a lower surface expression when expressed in cells.
组织特异性
Expressed in monocytes and mature macrophages such as Kupffer cells in the liver, red pulp macrophages in the spleen, cortical macrophages in the thymus, resident bone marrow macrophages and meningeal macrophages of the central nervous system. Expressed also in blood. Isoform 1 is the lowest abundant in the blood. Isoform 2 is the lowest abundant in the liver and the spleen. Isoform 3 is the predominant isoform detected in the blood.
翻译后修饰
A soluble form (sCD163) is produced by proteolytic shedding which can be induced by lipopolysaccharide, phorbol ester and Fc region of immunoglobulin gamma. This cleavage is dependent on protein kinase C and tyrosine kinases and can be blocked by protease inhibitors. The shedding is inhibited by the tissue inhibitor of metalloproteinase TIMP3, and thus probably induced by membrane-bound metalloproteinases ADAMs. Phosphorylated.
相似性
Contains 9 SRCR domains.
功能
Acute phase-regulated receptor involved in clearance and endocytosis of hemoglobin/haptoglobin complexes by macrophages and may thereby protect tissues from free hemoglobin-mediated oxidative damage. May play a role in the uptake and recycling of iron, via endocytosis of hemoglobin/haptoglobin and subsequent breakdown of heme. Binds hemoglobin/haptoglobin complexes in a calcium-dependent and pH-dependent manner. Exhibits a higher affinity for complexes of hemoglobin and multimeric haptoglobin of HP*1F phenotype than for complexes of hemoglobin and dimeric haptoglobin of HP*1S phenotype. Induces a cascade of intracellular signals that involves tyrosine kinase-dependent calcium mobilization, inositol triphosphate production and secretion of IL6 and CSF1. Isoform 3 exhibits the higher capacity for ligand endocytosis and the more pronounced surface expression when expressed in cells.

同靶标产品

相关文献

提示: 发表研究结果有使用 bs-2527R 时请让我们知道,以便我们可以引用参考文章。作为回馈,资料提供者将获得我们送上的小礼品。
具体参考文献:bs-2527R 被引用于100文献中

常见问题