







| 应用 | 已检合格种属 | 预测种属 | 推荐稀释比例 |
|---|---|---|---|
| WB | Rat | Human, Mouse, Rabbit, Pig, Sheep, Cow | 1:500-2000 |
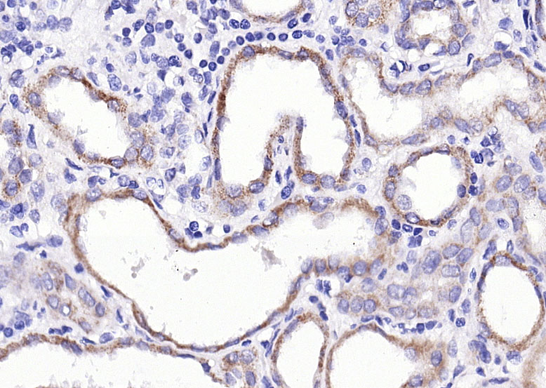
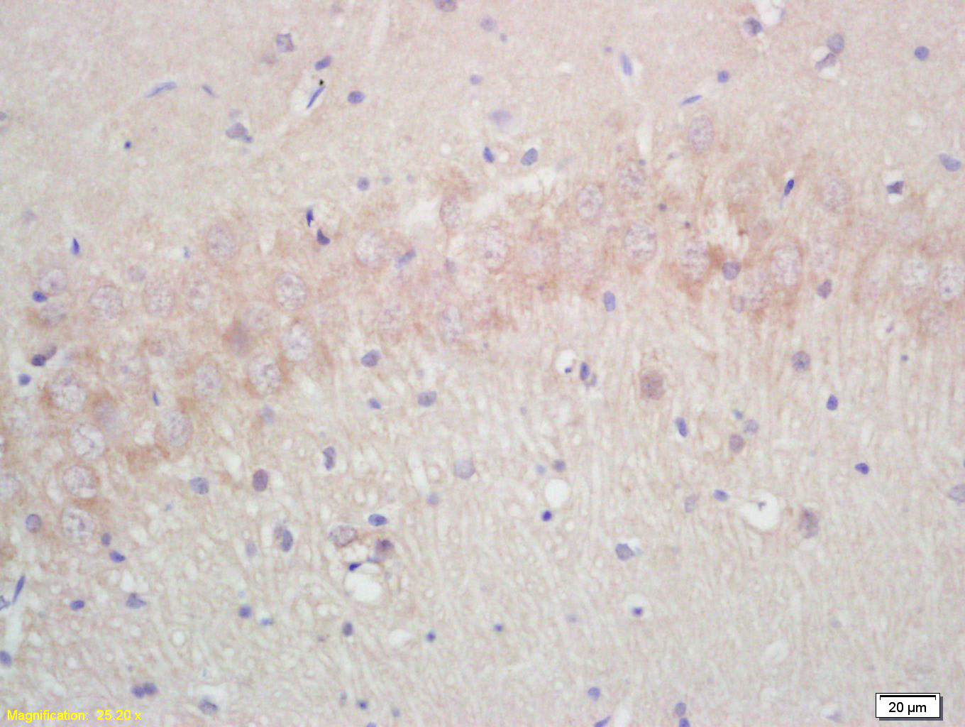
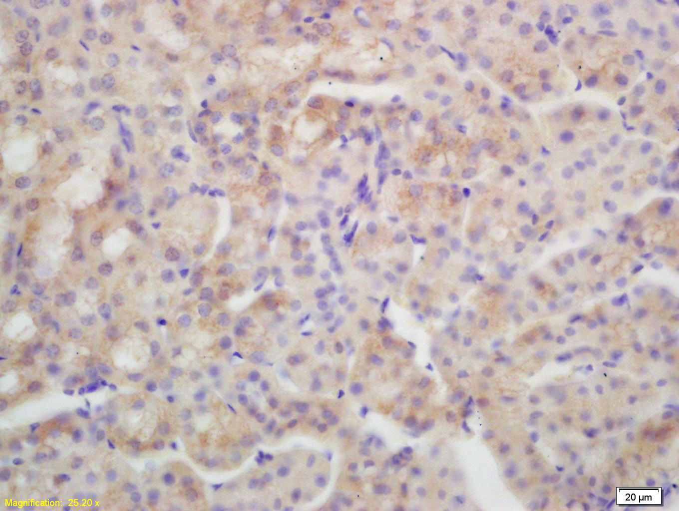
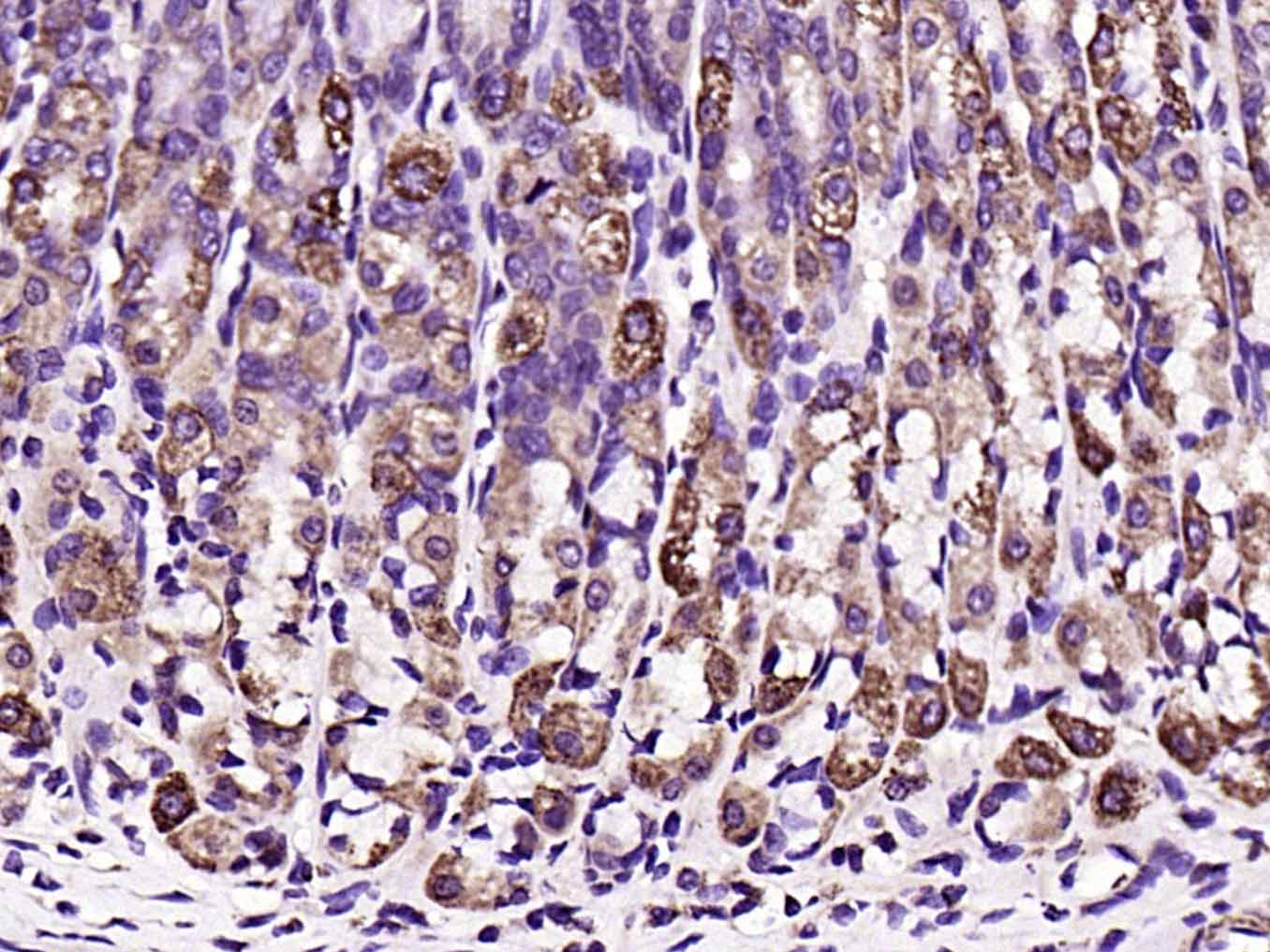
| IHC-P | Human, Mouse, Rat | Rabbit, Pig, Sheep, Cow | 1:100-500 |
| IHC-F | Human, Mouse, Rat | Rabbit, Pig, Sheep, Cow | 1:100-500 |
| IF | Human, Mouse, Rat | Rabbit, Pig, Sheep, Cow | 1:100-500 |
| Flow-Cyt | Human | Mouse, Rat, Rabbit, Pig, Sheep, Cow | 1μg /test |
交叉反应: Human, Mouse, Rat (predicted: Rabbit, Pig, Sheep, Cow)
暂无相关产品