Cardiovascular > Atherosclerosis > Lipoprotein metabolism
Cardiovascular > Lipids / Lipoproteins > Lipid Metabolism > Cholesterol Metabolism
Metabolism > Pathways and Processes > Metabolic signaling pathways > Lipid and lipoprotein metabolism > Cholesterol Metabolism
Metabolism > Pathways and Processes > Metabolic signaling pathways > Lipid and lipoprotein metabolism > Lipoprotein metabolism
Metabolism > Types of disease > Heart disease
Neuroscience > Neurotransmission > Receptors / Channels > GPCR > Cannabinoid Receptor



| 应用 | 已检合格种属 | 预测种属 | 推荐稀释比例 |
|---|---|---|---|
| WB | Rat | Human, Mouse, Rabbit, Pig, Cow, Dog, GuineaPig, Horse | 1:500-2000 |
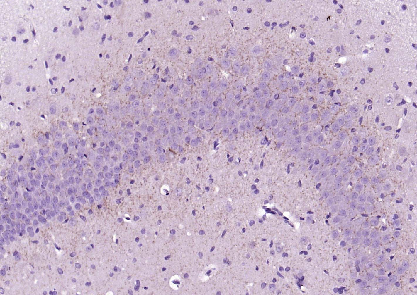
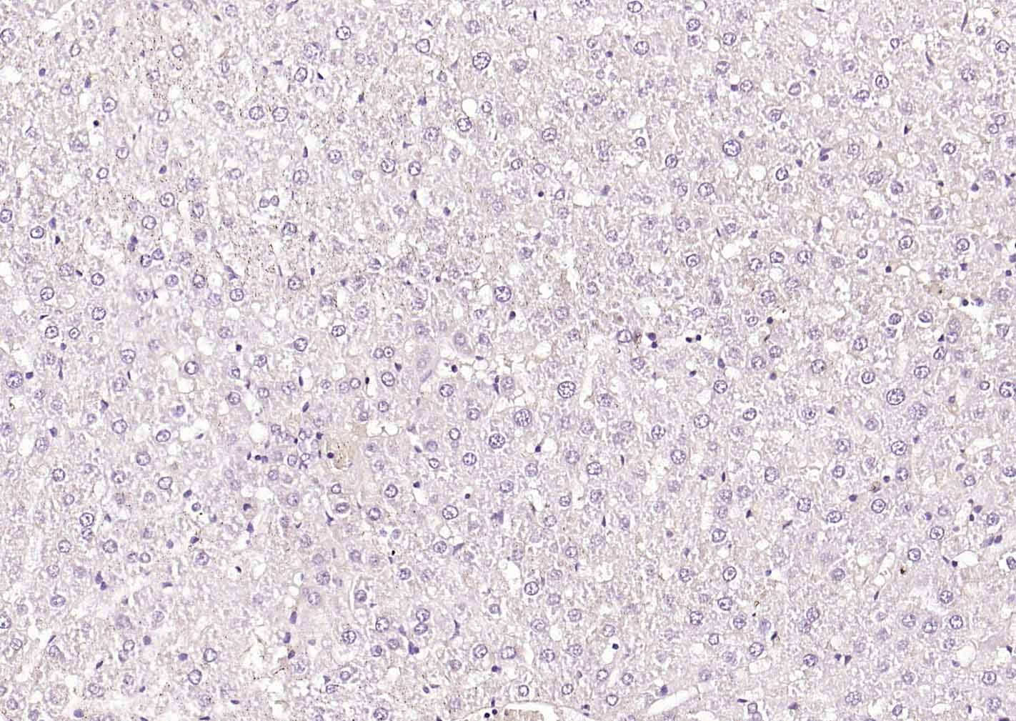
| IHC-P | Rat | Human, Mouse, Rabbit, Pig, Cow, Dog, GuineaPig, Horse | 1:100-500 |
| IHC-F | Rat | Human, Mouse, Rabbit, Pig, Cow, Dog, GuineaPig, Horse | 1:100-500 |
| IF | Rat | Human, Mouse, Rabbit, Pig, Cow, Dog, GuineaPig, Horse | 1:100-500 |
交叉反应: Rat (predicted: Human, Mouse, Rabbit, Pig, Cow, Dog, GuineaPig, Horse)
暂无相关产品