Cancer > Cell cycle > Cell cycle inhibitors > p53 pathway
Cell Biology > Cell Cycle > Cell Cycle Inhibitors > p53
Cell Biology > Cell Cycle > Cell Division > Cytokinesis
Epigenetics and Nuclear Signaling > DNA / RNA > DNA Damage & Repair > DNA Damage Response > p53
Signal Transduction > Protein Phosphorylation > Ser / Thr Kinases > MAPK Pathway




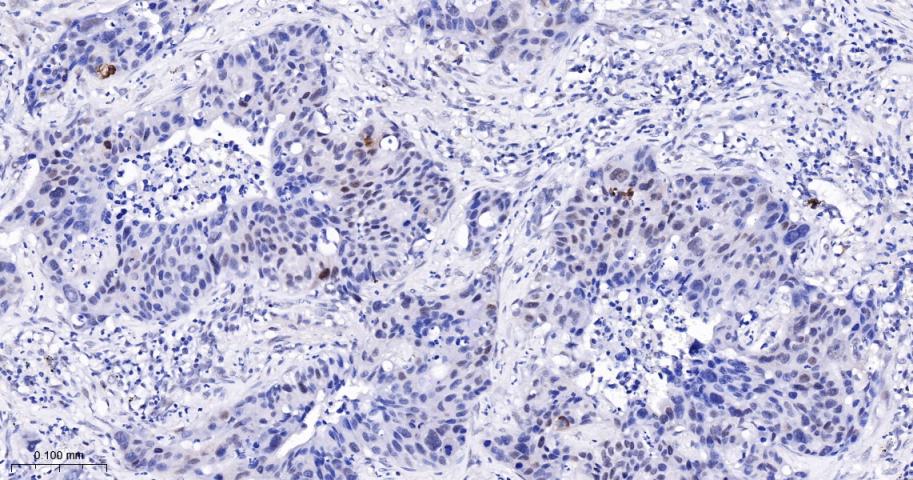
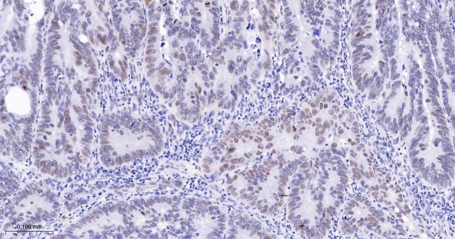
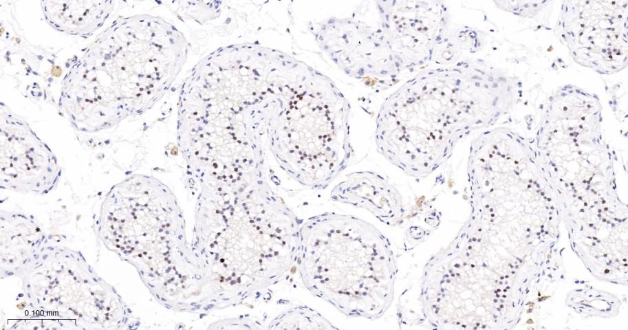
| 应用 | 已检合格种属 | 预测种属 | 推荐稀释比例 |
|---|---|---|---|
| WB | Human | 1:500-2000 | |
| IHC-P | Human | 1:50-200 | |
| IHC-F | Human | 1:50-200 | |
| IF | Human | 1:50-200 |
交叉反应: Human
暂无相关产品