CNPase Recombinant Rabbit mAb (一抗) - WB,IHC-P,IHC-F,IF | Bioss

Rrmab?兔单抗
2026-03-02~2026-04-30,KXJ2603
CNPase Recombinant Rabbit mAb (一抗) - WB,IHC-P,IHC-F,IF | Bioss
货号:bsm-61411R
产品详情
相关标记
相关产品
相关文献
常见问题

概述

产品编号
bsm-61411R
产品类型
重组兔单抗
英文名称
CNPase Recombinant Rabbit mAb
中文名称
2’,3’-环腺苷酸-3’-磷酸二酯酶重组兔单抗
英文别名
CN37; CNP1; HLD20; CNPase; Cnp-1; CNP; CNPF; CNPI; CNPII; CN37_BOVIN; Elastase 2',3'-cyclic-nucleotide 3'-phosphodiesterase; 3.1.4.37; CN37_HUMAN; CN37_MOUSE; ANFC_PIG; NPPC; CN37_RAT; ANFC_SHEEP;
抗体来源
Rabbit
免疫原
A synthesized peptide derived from human CNPase: 350-421
亚型
IgG
性状
Liquid
纯化方法
affinity purified by Protein A
克隆类型
Recombinant
克隆号
2G20
理论分子量
48 kDa
检测分子量
47 kDa
储存液
10mM phosphate buffered saline(pH 7.4) with 150mM sodium chloride, 0.05% BSA, 0.02% Proclin300 and 50% glycerol.
SWISS
Gene ID
保存条件
Store at 4℃ for short term. Store at -20℃ for long term. Avoid repeated freeze/thaw cycles.
注意事项
This product as supplied is intended for research use only, not for use in human, therapeutic or diagnostic applications.
背景资料
Catalyzes the formation of 2'-nucleotide products from 2',3'-cyclic substrates. May participate in RNA metabolism in the myelinating cell, CNP is the third most abundant protein in central nervous system myelin.
2’,3’-环腺苷酸-3’-磷酸二酯酶重组兔单抗-bsm-61411R2’,3’-环腺苷酸-3’-磷酸二酯酶重组兔单抗-bsm-61411R2’,3’-环腺苷酸-3’-磷酸二酯酶重组兔单抗-bsm-61411R2’,3’-环腺苷酸-3’-磷酸二酯酶重组兔单抗-bsm-61411R2’,3’-环腺苷酸-3’-磷酸二酯酶重组兔单抗-bsm-61411R2’,3’-环腺苷酸-3’-磷酸二酯酶重组兔单抗-bsm-61411R2’,3’-环腺苷酸-3’-磷酸二酯酶重组兔单抗-bsm-61411R2’,3’-环腺苷酸-3’-磷酸二酯酶重组兔单抗-bsm-61411R2’,3’-环腺苷酸-3’-磷酸二酯酶重组兔单抗-bsm-61411R

产品应用

应用已检合格种属预测种属推荐稀释比例
WBMouse, RatHuman1:500-2000
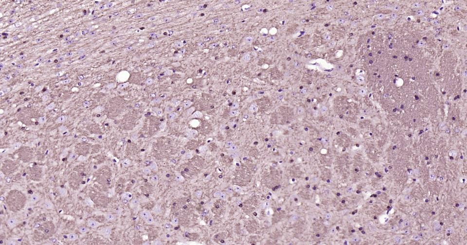
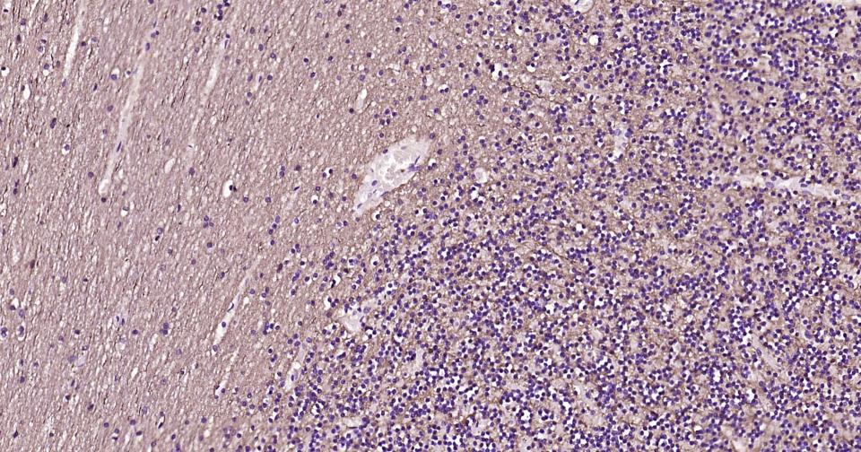
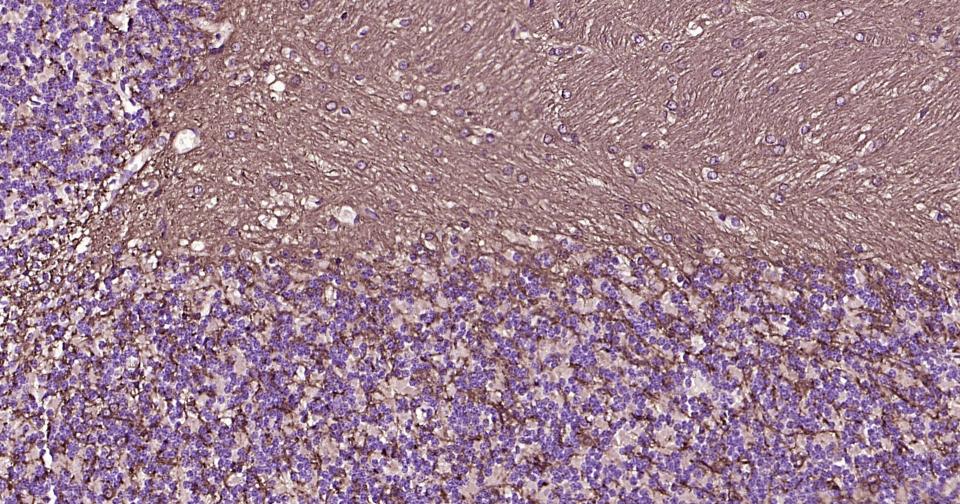
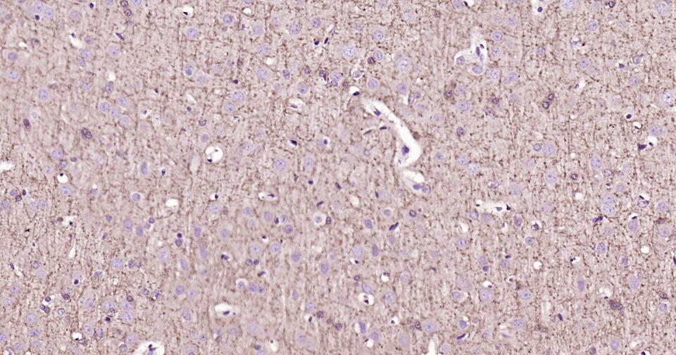
IHC-PHuman, Mouse, Rat1:100-500
IHC-FHuman, Mouse, Rat1:100-500
IFHuman, Mouse, Rat1:100-500

交叉反应

交叉反应: Human, Mouse, Rat

相关产品

暂无相关产品

靶标

基因名
CNP
蛋白名
2', 3'-cyclic-nucleotide 3'-phosphodiesterase
亚基
Exists as monomers and homodimers.
亚细胞定位
Membrane. Melanosome. Firmly bound to membrane structures of brain white matter. Identified by mass spectrometry in melanosome fractions from stage I to stage IV.
相似性
Belongs to the cyclic nucleotide phosphodiesterase family.
功能
May participate in RNA metabolism in the myelinating cell, CNP is the third most abundant protein in central nervous system myelin.

同靶标产品

相关文献

提示: 发表研究结果有使用 bsm-61411R 时请让我们知道,以便我们可以引用参考文章。作为回馈,资料提供者将获得我们送上的小礼品。

常见问题