Cancer > Cancer Metabolism > Metabolic signaling pathway > Integration of energy metabolism
Cancer > Cell cycle > Cell cycle inhibitors > p53 pathway
Cancer > Oncoproteins/suppressors > Tumor suppressors > p53 pathway
Cell Biology > Cell Cycle > Cell Cycle Inhibitors > p53
Metabolism > Pathways and Processes > Metabolic signaling pathways > Energy transfer pathways > Integration of energy

















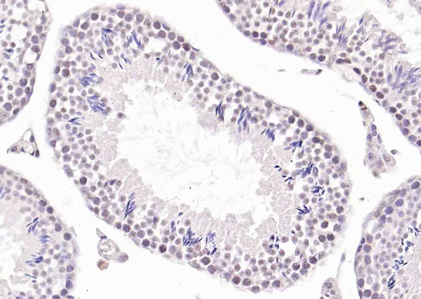
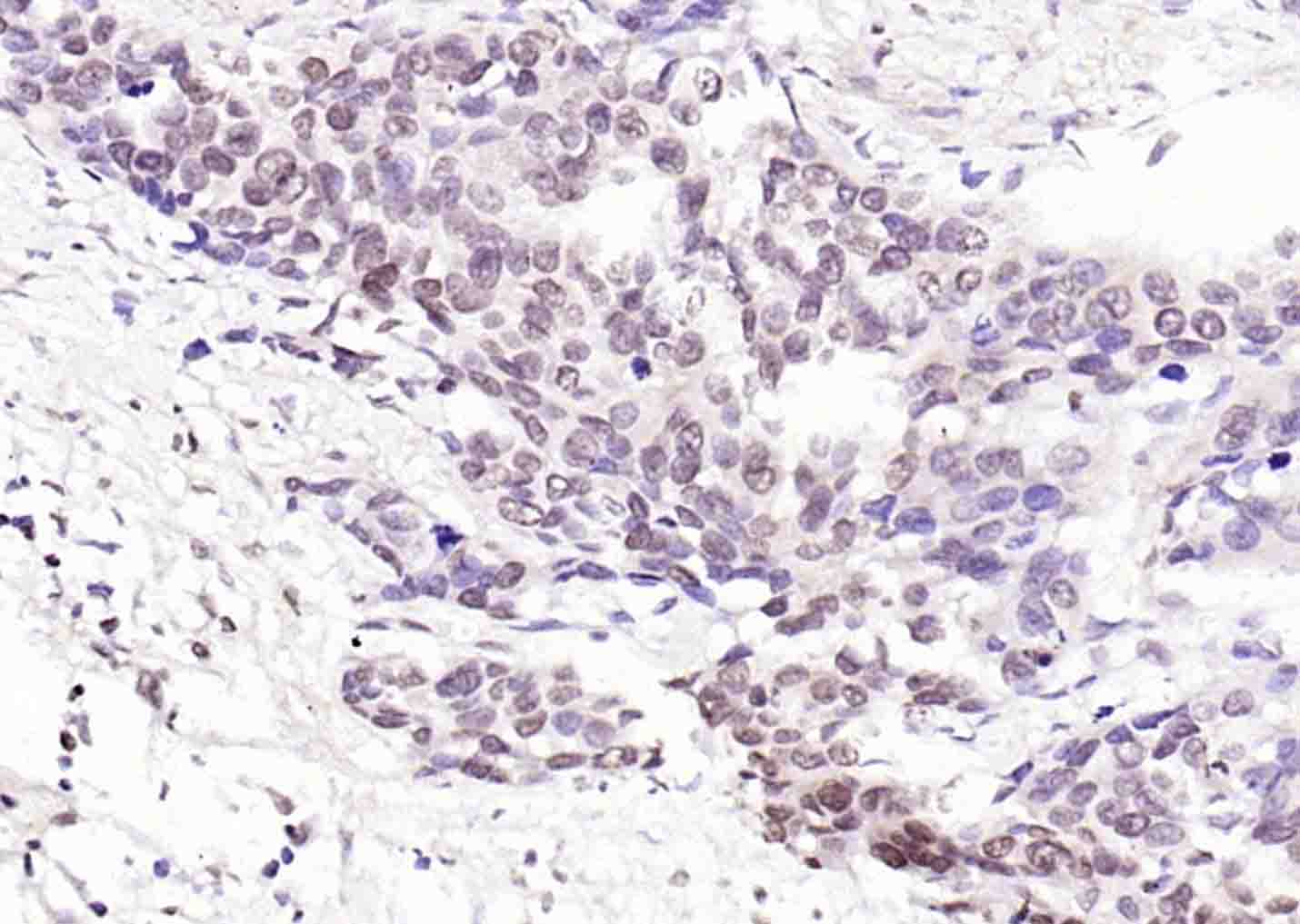
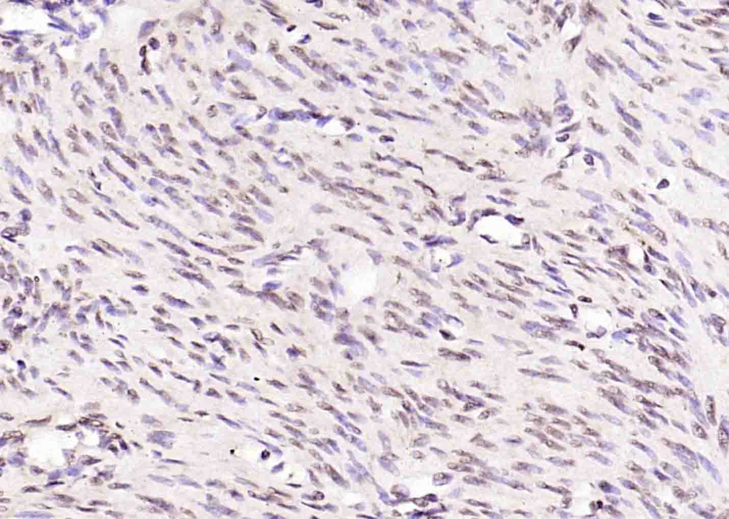
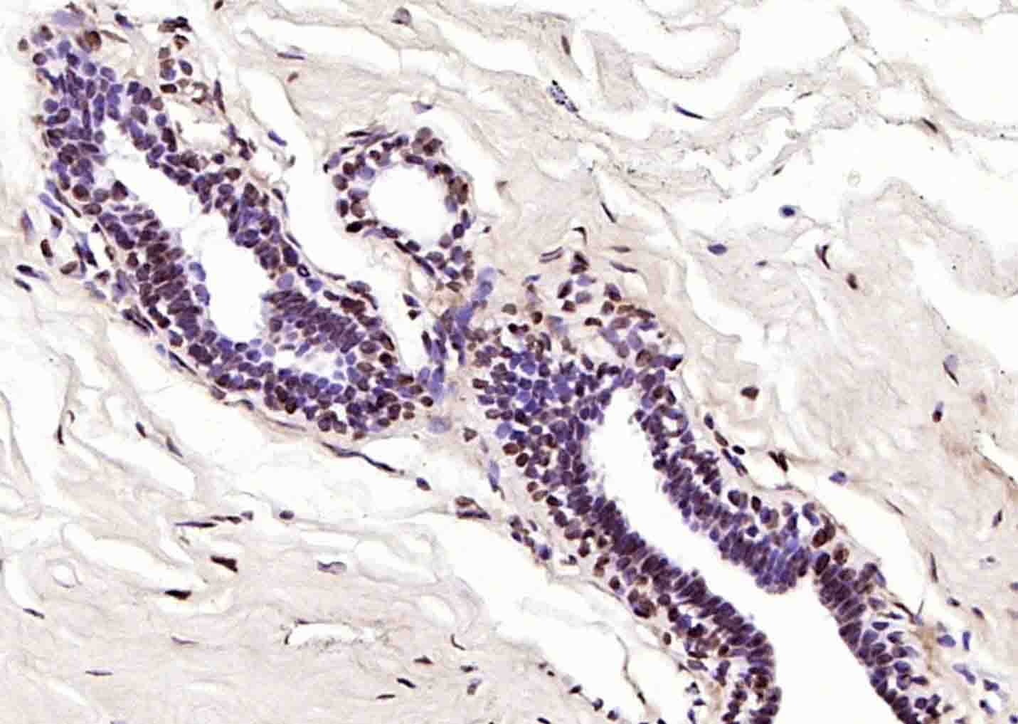
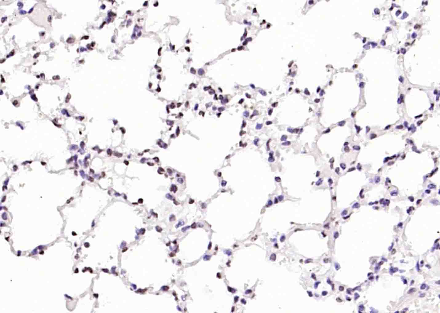
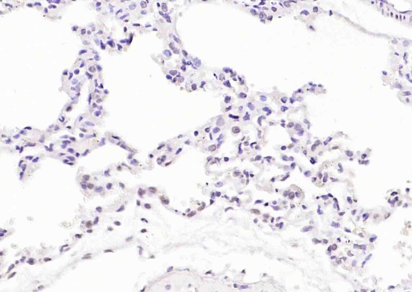
| 应用 | 已检合格种属 | 预测种属 | 推荐稀释比例 |
|---|---|---|---|
| WB | Human, Mouse | Rat | 1:500-2000 |
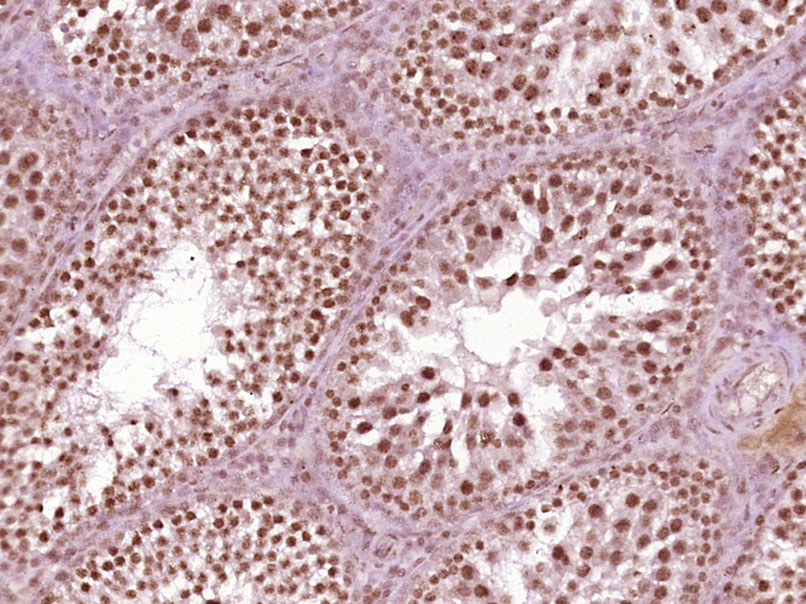
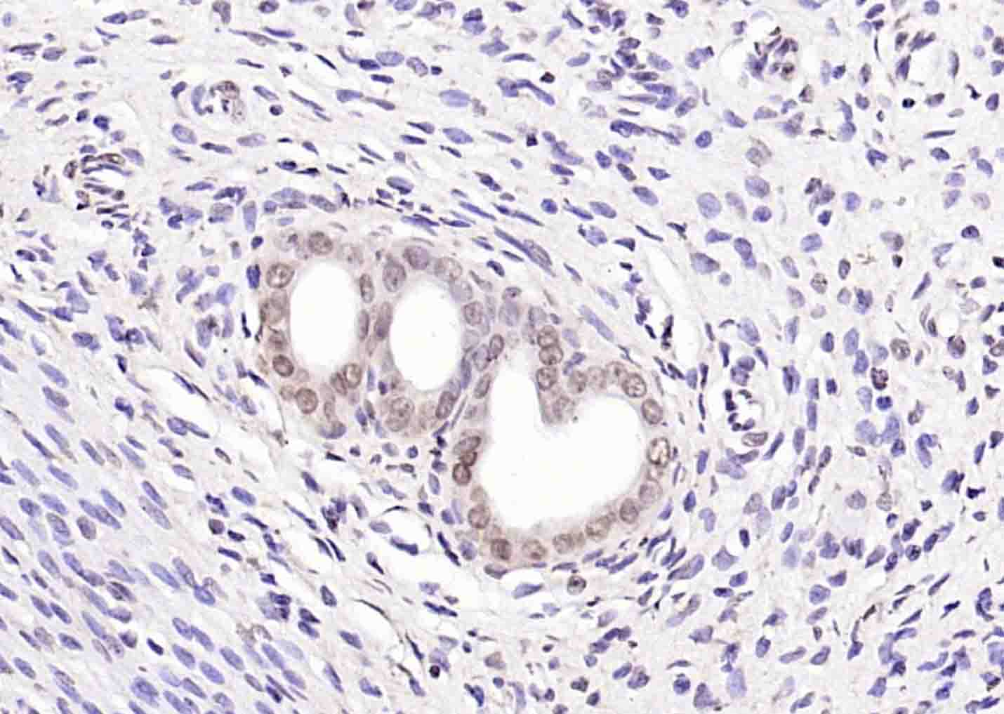
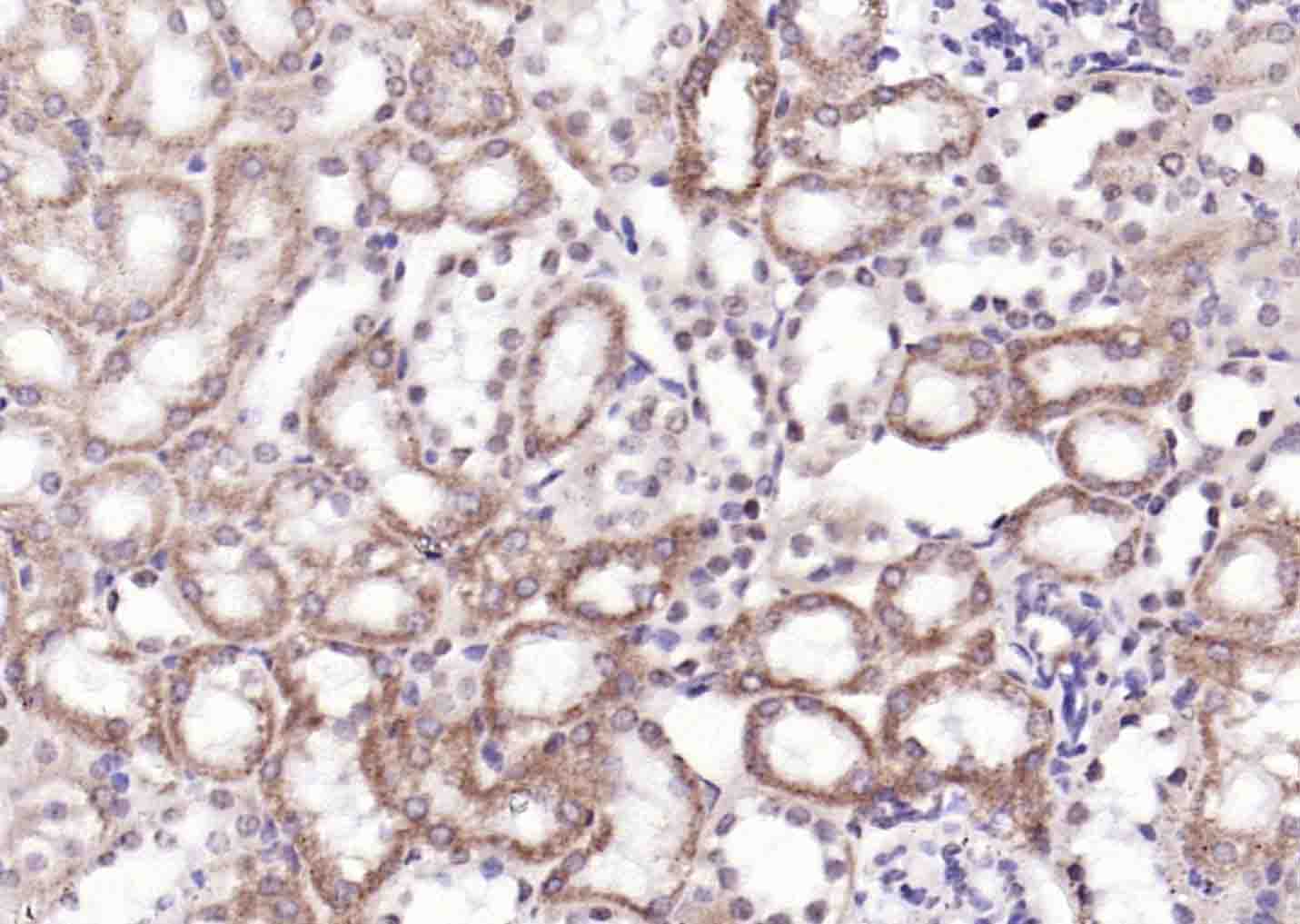
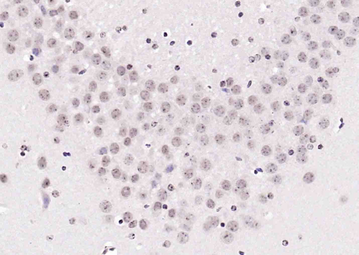
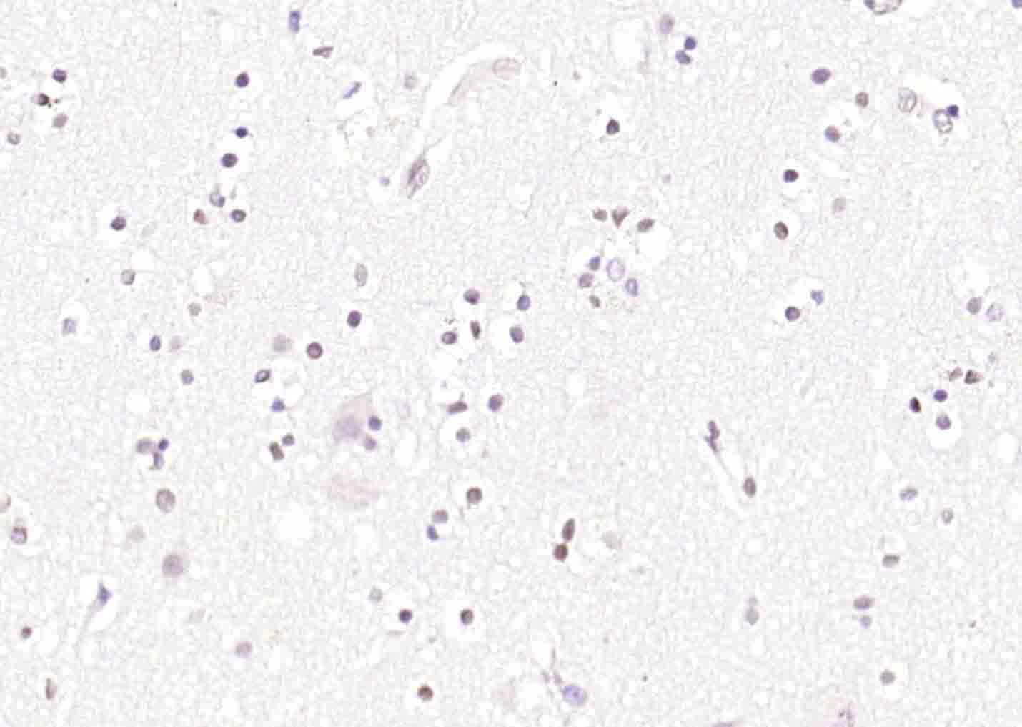
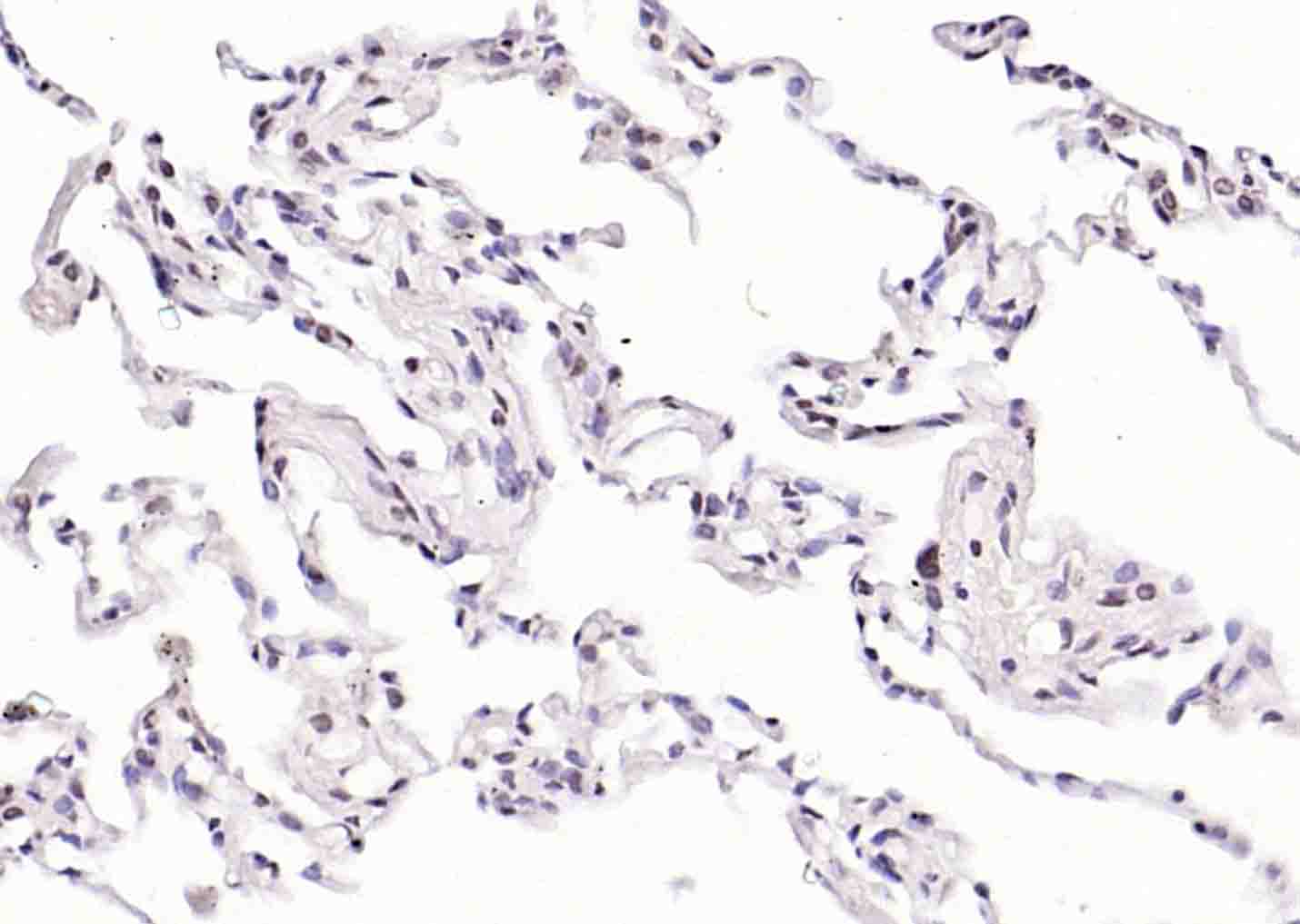
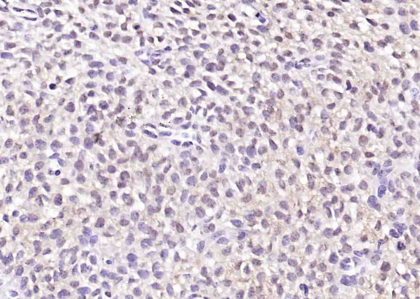
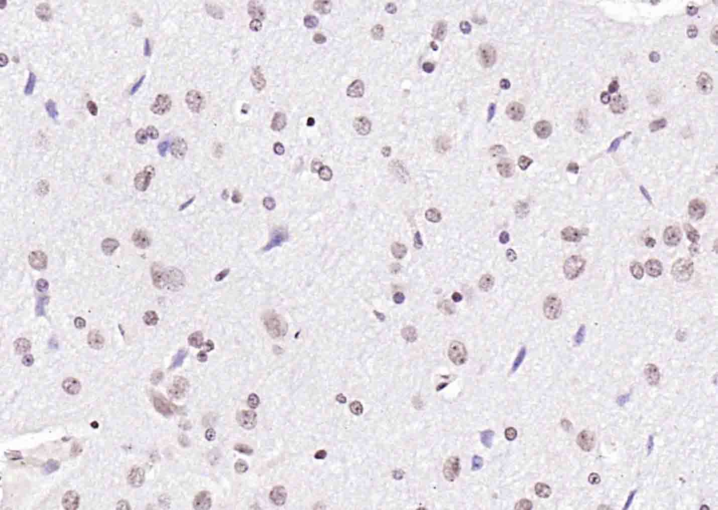
| IHC-P | Human, Mouse, Rat | 1:100-500 | |
| IHC-F | Human, Mouse, Rat | 1:100-500 | |
| IF | Human, Mouse, Rat | 1:100-500 | |
| Flow-Cyt | Human | Mouse, Rat | 1ug/Test |
交叉反应: Human, Mouse, Rat
暂无相关产品