Cancer > Cell Death > Apoptosis > Apoptosis Markers > NFkB > RelA (p65)
Cancer > Signal transduction > Nuclear signaling > NFkB pathway
Cardiovascular > Atherosclerosis > Vascular Inflammation > Inflammatory mediators
Cell Biology > Apoptosis > Intracellular > NFkB > RelA (p65)
Epigenetics and Nuclear Signaling > Nuclear Signaling Pathways > NFkB pathway
Metabolism > Types of disease > Obesity
Microbiology > Interspecies Interaction > Host Immune Response
Microbiology > Interspecies Interaction > Host Virus Interaction
Neuroscience > Neurology process > Neurodegenerative disease > Alzheimer's disease
Signal Transduction > Signaling Pathway > Nuclear Signaling > NFkB Pathway







| 应用 | 已检合格种属 | 预测种属 | 推荐稀释比例 |
|---|---|---|---|
| WB | Mouse | Human, Rat, Pig, Cow, Dog | 1:500-2000 |
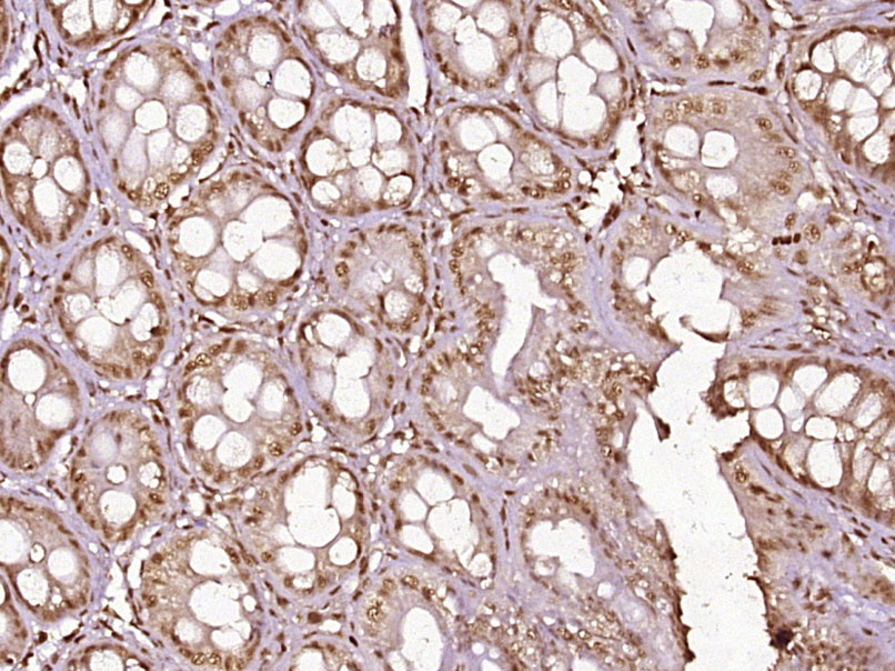
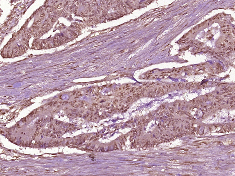
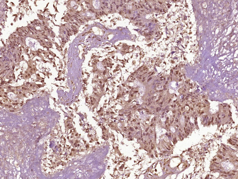
| IHC-P | Human, Rat | Mouse, Pig, Cow, Dog | 1:100-500 |
| IHC-F | Human, Rat | Mouse, Pig, Cow, Dog | 1:100-500 |
| IF | Human, Rat | Mouse, Pig, Cow, Dog | 1:100-500 |
| Flow-Cyt | Human, Mouse | Rat, Pig, Cow, Dog | 2ug/Test |
交叉反应: Human, Mouse, Rat (predicted: Pig, Cow, Dog)
暂无相关产品