Cancer > Cell cycle > Cell cycle inhibitors
Cancer > Cell cycle > Cell differentiation
Cell Biology > Cell Cycle > Cell Cycle Inhibitors
Epigenetics and Nuclear Signaling > Cell cycle > Cell Cycle Inhibitors
Epigenetics and Nuclear Signaling > Cell cycle > Cell Differentiation
Microbiology > Interspecies Interaction > Host Virus Interaction
















| 应用 | 已检合格种属 | 预测种属 | 推荐稀释比例 |
|---|---|---|---|
| WB | Human, Mouse, Rat | 1:500-2000 | |
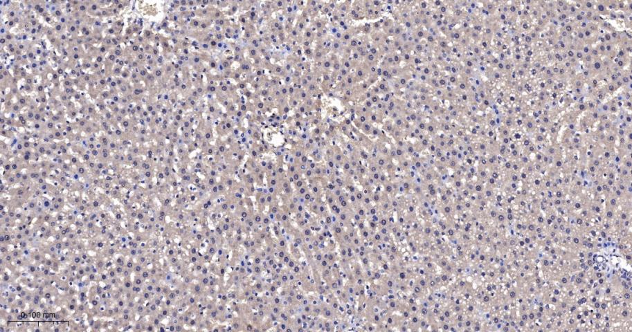
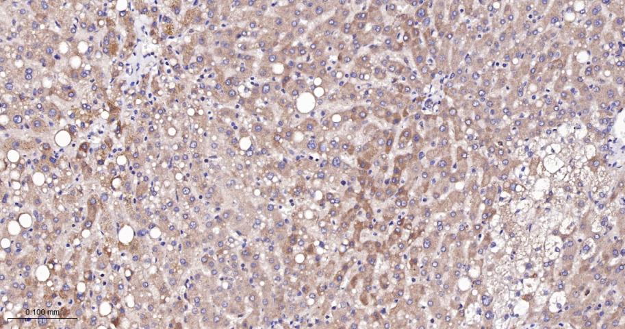
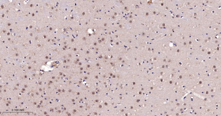
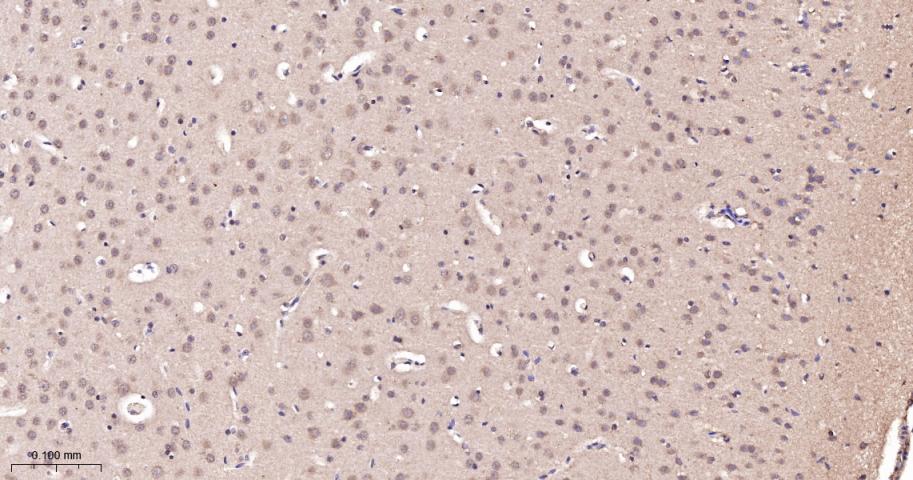
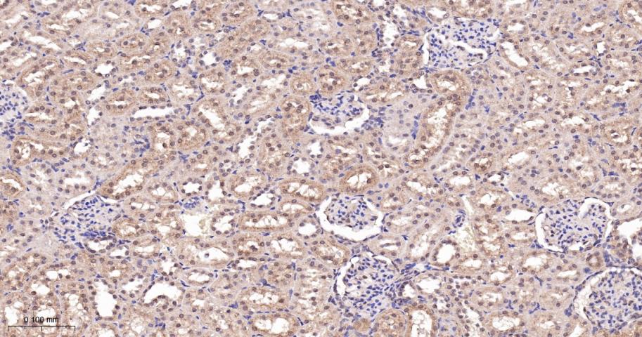
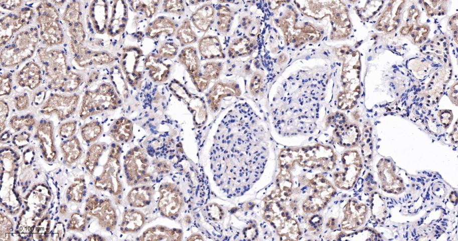
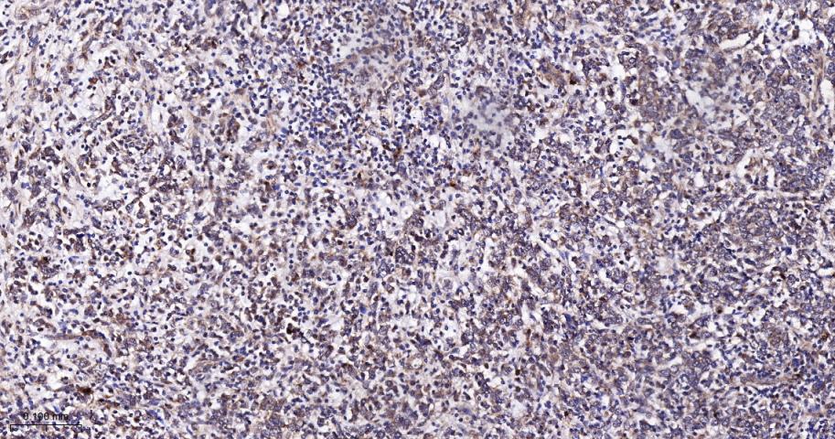
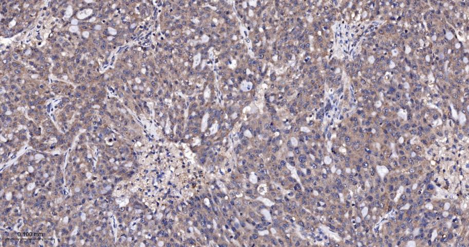
| IHC-P | Human, Mouse, Rat | 1:50-200 | |
| IHC-F | Human, Mouse, Rat | 1:50-200 | |
| IF | Human, Mouse, Rat | 1:50-200 | |
| Flow-Cyt | Human, Mouse, Rat | 1:50-100 | |
| ICC/IF | Human | Mouse, Rat | 1:50-200 |
交叉反应: Human, Mouse, Rat
暂无相关产品
暂无标记数据
暂无同靶标产品
暂无相关文献
暂无常见问题