hnRNP M1-M4 Rabbit pAb (一抗) | Bioss

2026-03-02~2026-04-30,KXJ26032026-03-02~2026-04-30,促销赠品
hnRNP M1-M4 Rabbit pAb (一抗) | Bioss
货号:bs-17335R
产品详情
相关标记
相关产品
相关文献
常见问题

概述

产品编号
bs-17335R
产品类型
宠物抗体、农牧业/家禽抗体
英文名称
hnRNP M1-M4 Rabbit pAb
中文名称
异质核糖核蛋白M1-M4抗体
英文别名
CEAR; HNRNPM4; HNRPM; HNRPM4; HTGR1; NAGR1; hnRNP M; 2610023M21Rik; mKIAA4193; HNRPM_HUMAN; HNRNPM; HNRPM_MOUSE;
抗体来源
Rabbit
免疫原
KLH conjugated synthetic peptide derived from human hnRNP M1-M4: 641-730/730
亚型
IgG
性状
Liquid
纯化方法
affinity purified by Protein A
克隆类型
Polyclonal
理论分子量
78 kDa
浓度
1mg/ml
储存液
0.01M TBS (pH7.4) with 1% BSA, 0.02% Proclin300 and 50% Glycerol.
SWISS
Gene ID
保存条件
Shipped at 4℃. Store at -20℃ for one year. Avoid repeated freeze/thaw cycles.
注意事项
This product as supplied is intended for research use only, not for use in human, therapeutic or diagnostic applications.
背景资料
This gene belongs to the subfamily of ubiquitously expressed heterogeneous nuclear ribonucleoproteins (hnRNPs). The hnRNPs are RNA binding proteins and they complex with heterogeneous nuclear RNA (hnRNA). These proteins are associated with pre-mRNAs in the nucleus and appear to influence pre-mRNA processing and other aspects of mRNA metabolism and transport. While all of the hnRNPs are present in the nucleus, some seem to shuttle between the nucleus and the cytoplasm. The hnRNP proteins have distinct nucleic acid binding properties. The protein encoded by this gene has three repeats of quasi-RRM domains that bind to RNAs. This protein also constitutes a monomer of the N-acetylglucosamine-specific receptor which is postulated to trigger selective recycling of immature GlcNAc-bearing thyroglobulin molecules. Alternative splicing results in multiple transcript variants. [provided by RefSeq, Aug 2011]
异质核糖核蛋白M1-M4抗体-bs-17335R异质核糖核蛋白M1-M4抗体-bs-17335R异质核糖核蛋白M1-M4抗体-bs-17335R异质核糖核蛋白M1-M4抗体-bs-17335R

产品应用

应用已检合格种属预测种属推荐稀释比例
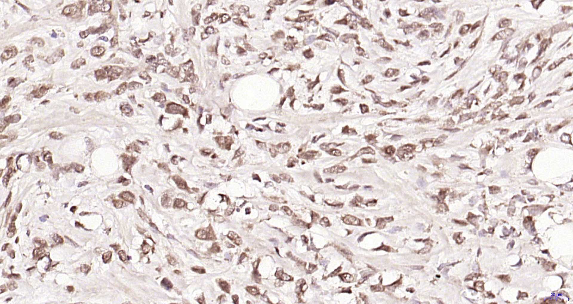
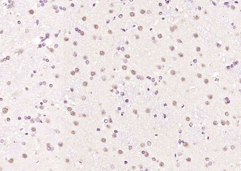
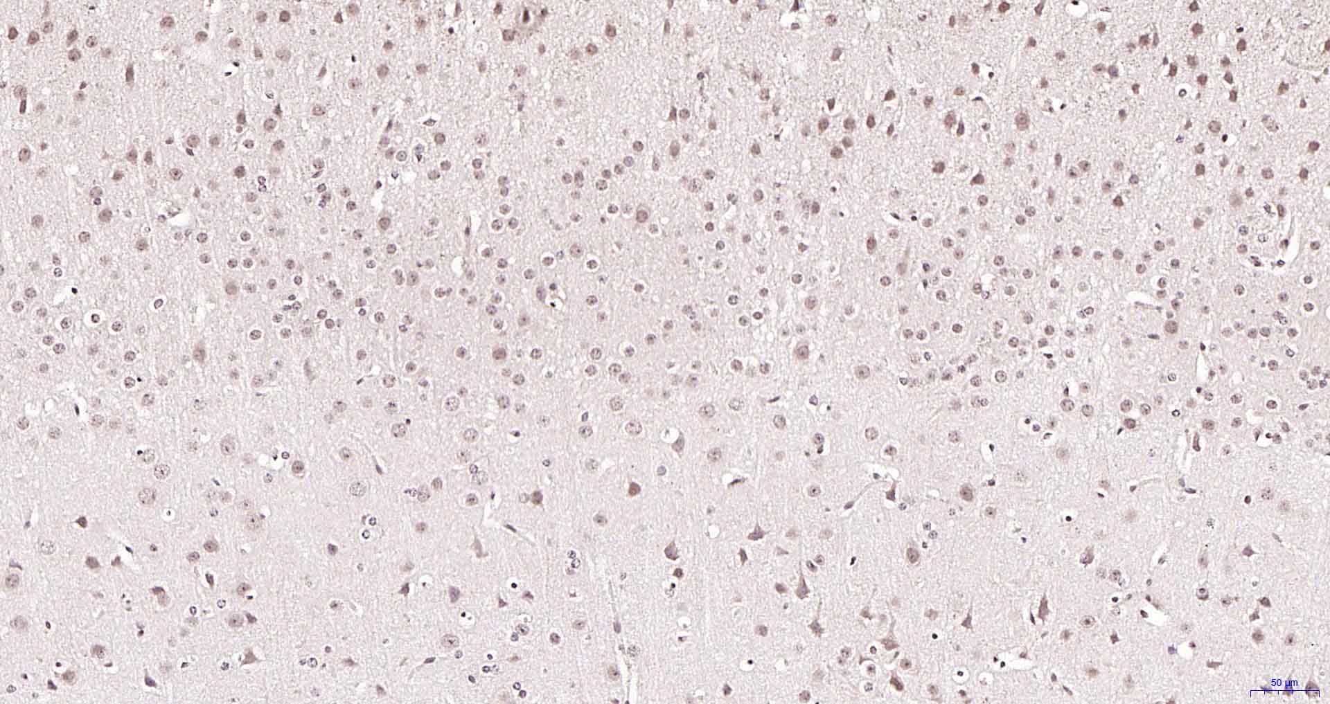
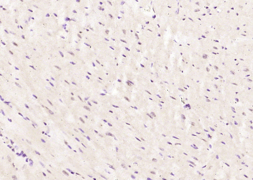
IHC-PHuman, Mouse, RatDog, Horse1:100-500
IHC-FHuman, Mouse, RatDog, Horse1:100-500
IFHuman, Mouse, RatDog, Horse1:100-500

交叉反应

交叉反应: Human, Mouse, Rat (predicted: Dog, Horse)

相关产品

暂无相关产品

靶标

基因名
HNRNPM
蛋白名
Heterogeneous nuclear ribonucleoprotein M
亚基
Identified in the spliceosome C complex.
亚细胞定位
Nucleus, nucleolus.
翻译后修饰
Sumoylated.
相似性
Contains 3 RRM (RNA recognition motif) domains.
功能
Pre-mRNA binding protein in vivo, binds avidly to poly(G) and poly(U) RNA homopolymers in vitro. Involved in splicing. Acts as a receptor for carcinoembryonic antigen in Kupffer cells, may initiate a series of signaling events leading to tyrosine phosphorylation of proteins and induction of IL-1 alpha, IL-6, IL-10 and tumor necrosis factor alpha cytokines.

同靶标产品

相关文献

提示: 发表研究结果有使用 bs-17335R 时请让我们知道,以便我们可以引用参考文章。作为回馈,资料提供者将获得我们送上的小礼品。

常见问题