










| 应用 | 已检合格种属 | 预测种属 | 推荐稀释比例 |
|---|---|---|---|
| WB | Human, Mouse, Rat | Rabbit, Pig, Zebrafish, Chicken, Dog, GuineaPig | 1:5000-100000 |
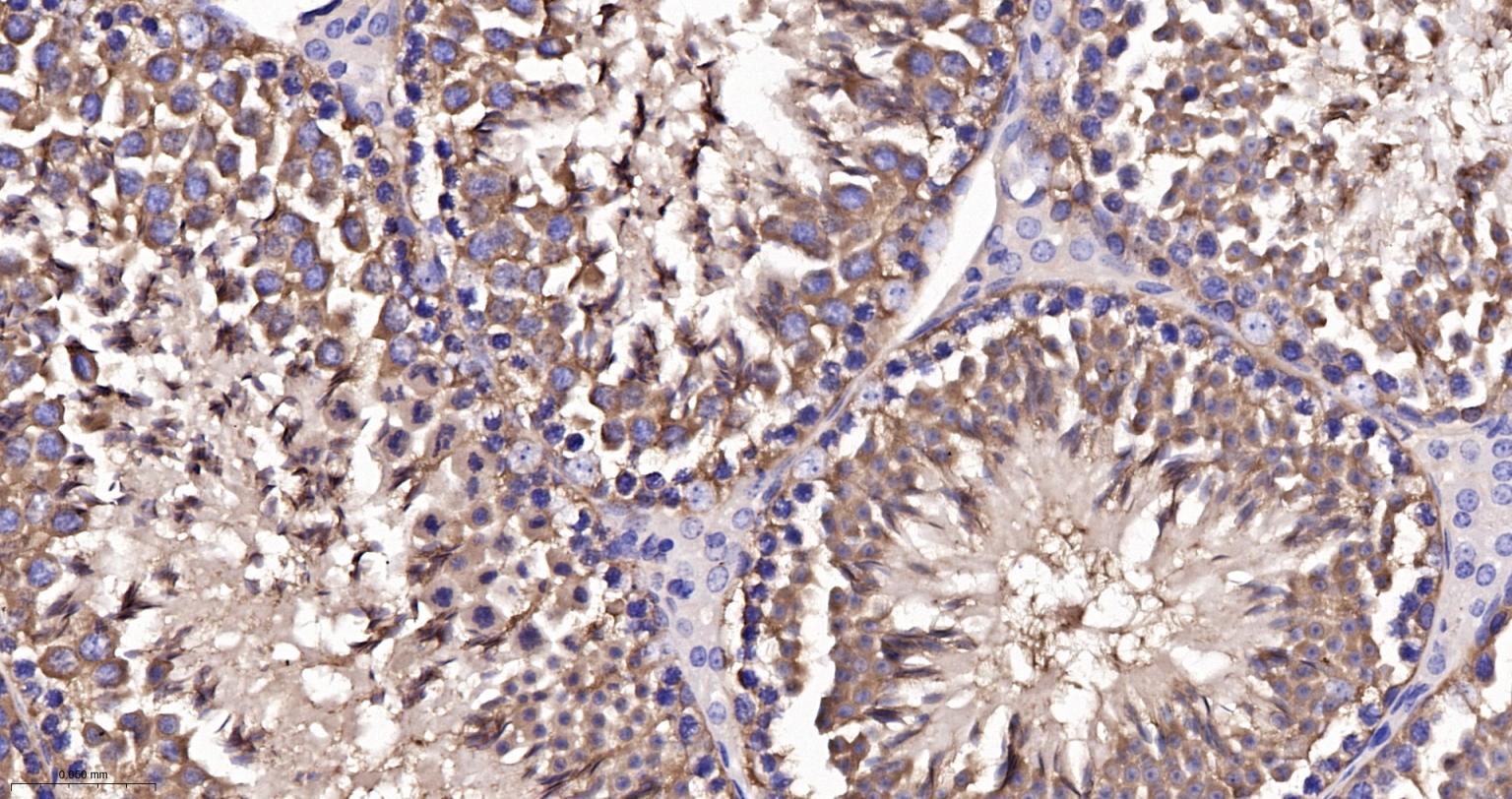
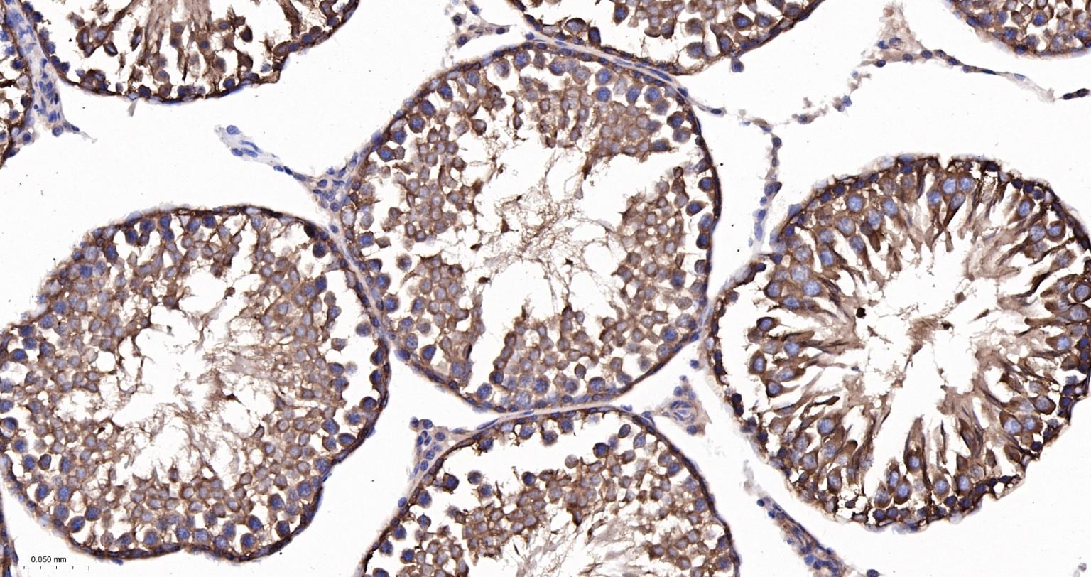
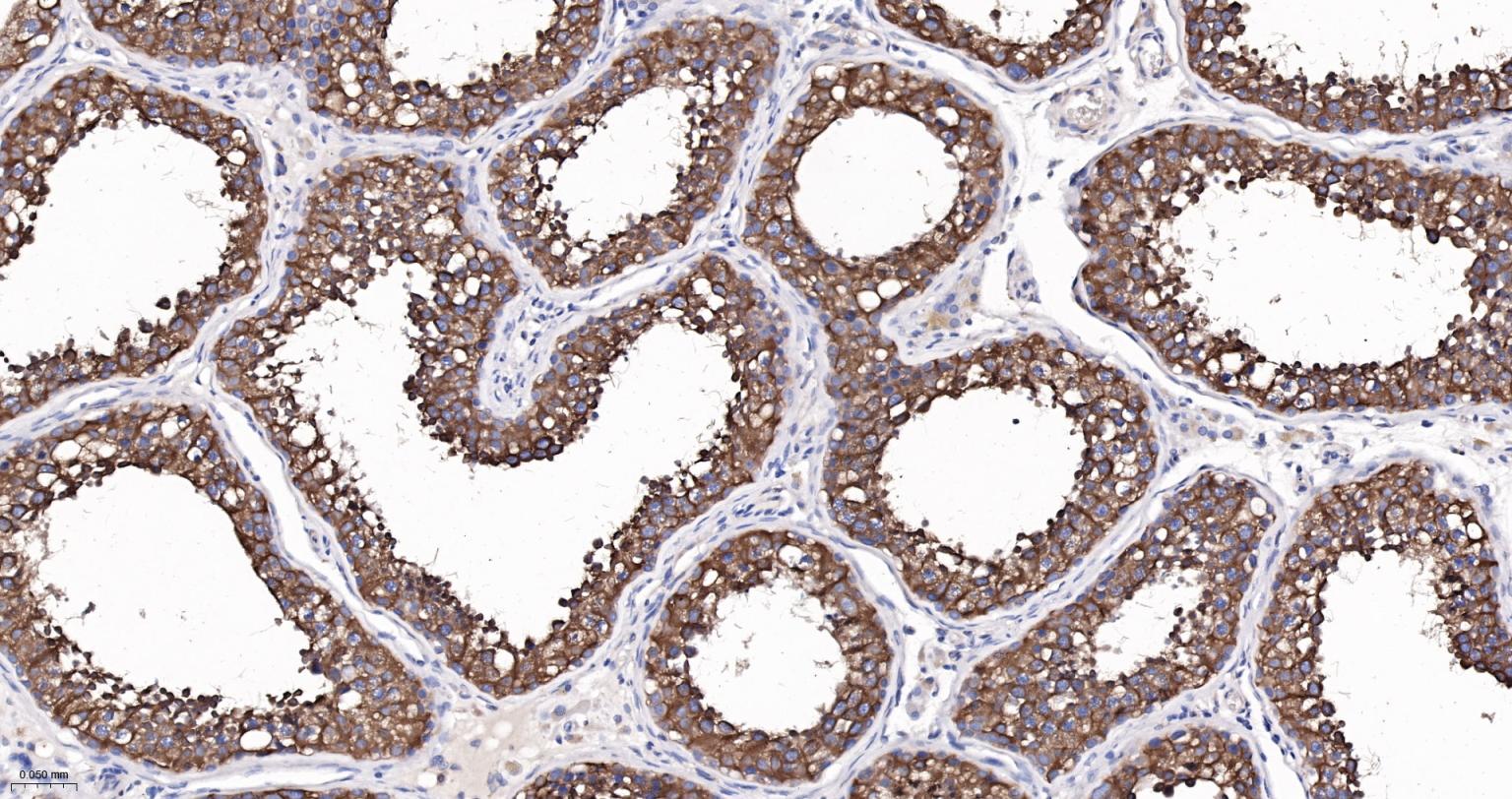
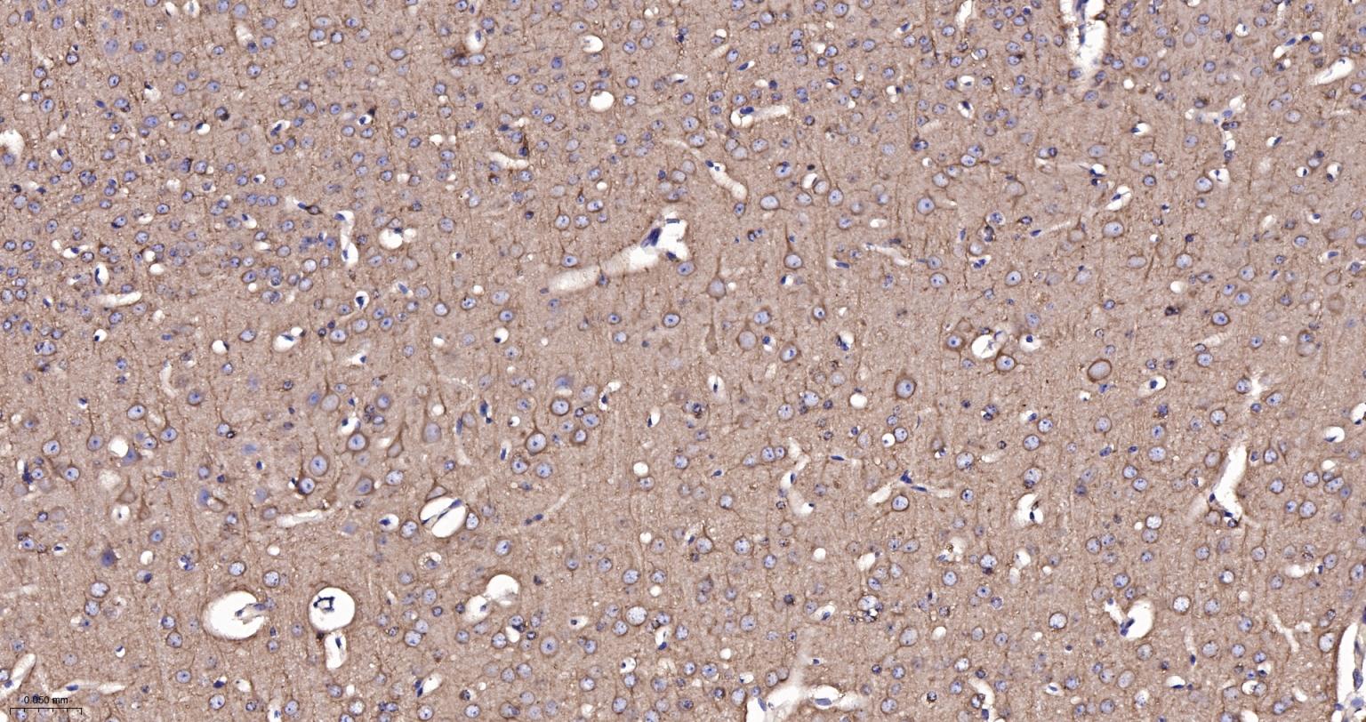
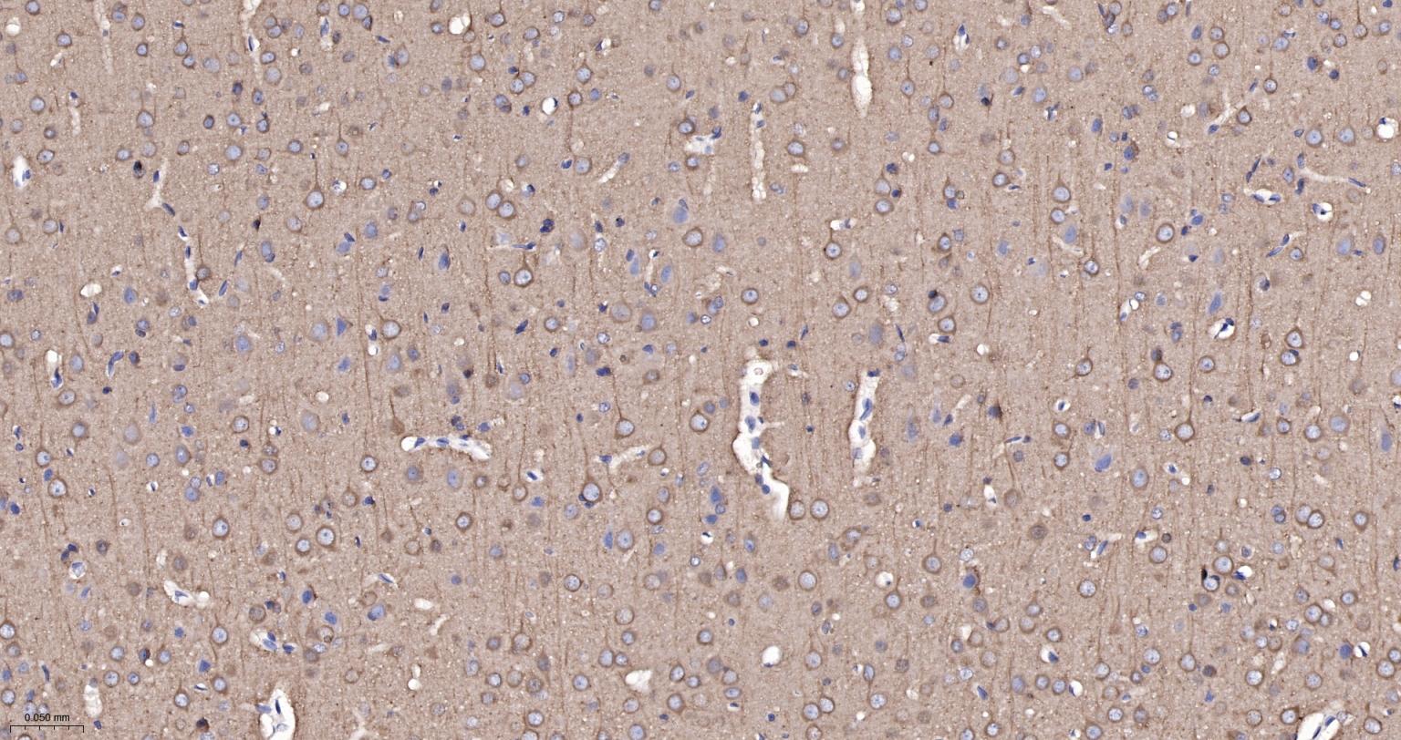
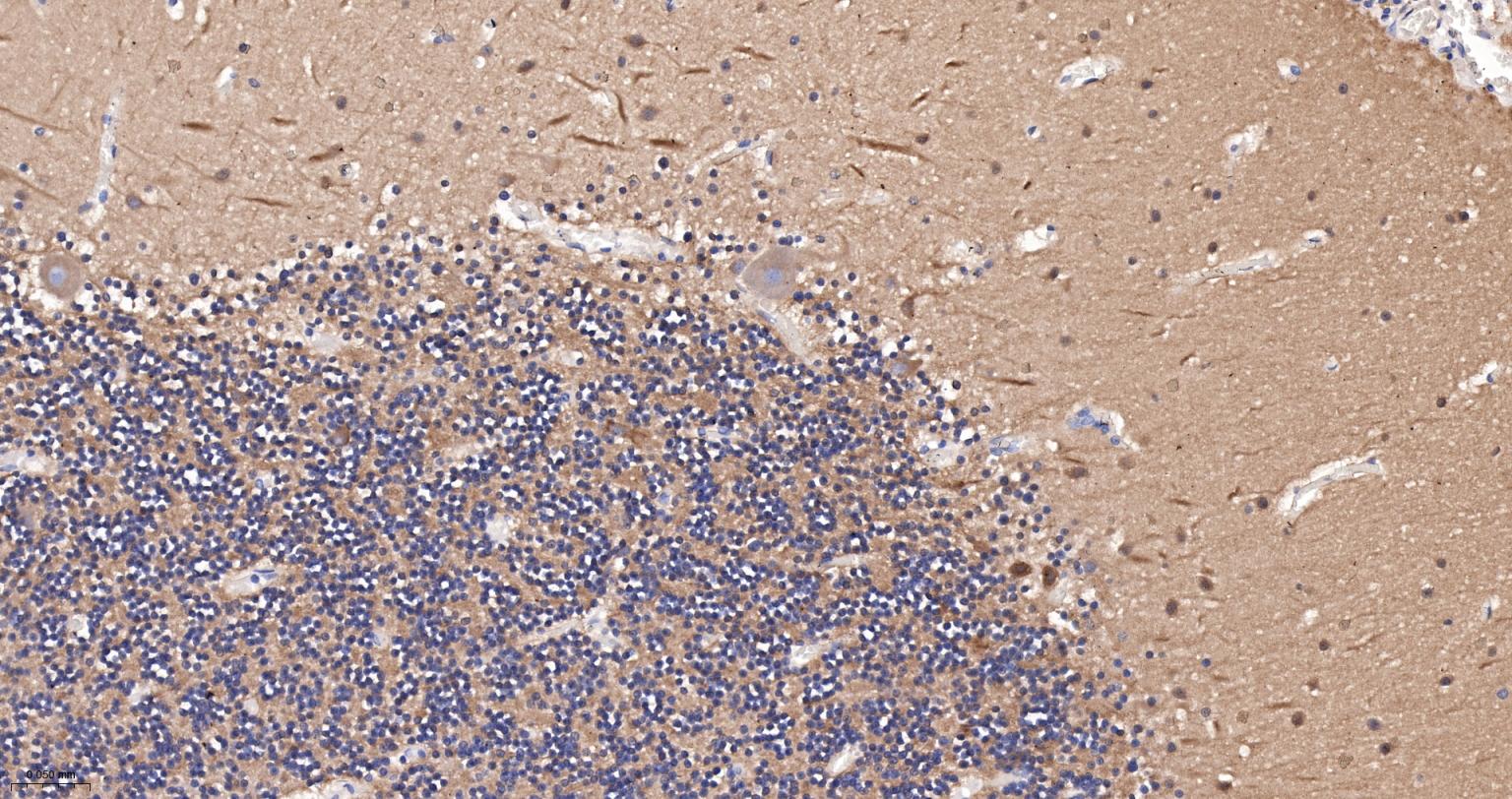
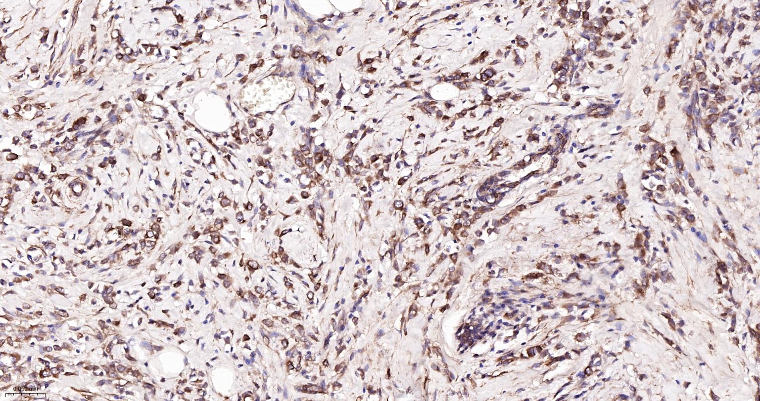
| IHC-P | Human, Mouse, Rat | Rabbit, Pig, Zebrafish, Chicken, Dog, GuineaPig | 1:500-1000 |
| IHC-F | Human, Mouse, Rat | Rabbit, Pig, Zebrafish, Chicken, Dog, GuineaPig | 1:500-1000 |
| IF | Human, Mouse, Rat | Rabbit, Pig, Zebrafish, Chicken, Dog, GuineaPig | 1:500-1000 |
| Flow-Cyt | Human | Mouse, Rat, Rabbit, Pig, Zebrafish, Chicken, Dog, GuineaPig | 1:50-100 |
| ICC/IF | Human | Mouse, Rat, Rabbit, Pig, Zebrafish, Chicken, Dog, GuineaPig | 1:50-200 |
交叉反应: Human, Mouse, Rat (predicted: Rabbit, Pig, Zebrafish, Chicken, Dog, GuineaPig)
暂无相关产品
暂无标记数据
暂无同靶标产品
暂无相关文献
暂无常见问题