Cancer > Invasion/microenvironment > Angiogenesis > ECM enzymes > MMPs
Cancer > Invasion/microenvironment > ECM > Extracellular matrix > MMPs
Cancer > Tumor biomarkers > Enzymes > MMPs
Cardiovascular > Angiogenesis > Adhesion / ECM > Matrix Metalloproteinases > MMP
Cell Biology > Proteolysis / Ubiquitin > Proteolytic enzymes > Metalloprotease > MMPs
Kits/ Lysates/ Other > Kits > ELISA Kits > ELISA Kits > Tumor biomarkers ELISA kits
Signal Transduction > Cytoskeleton / ECM > Extracellular Matrix > ECM Enzymes > MMP
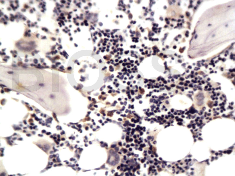
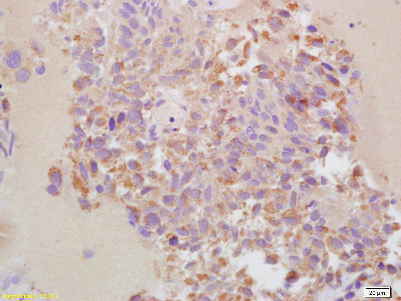
bs-0575P is one synthetic peptide derived from human MMP13.
Proteins of the matrix metalloproteinase (MMP) family are involved in the breakdown of extracellular matrix in normal physiological processes, such as embryonic development, reproduction, and tissue remodeling, as well as in disease processes, such as arthritis and metastasis. Most MMP's are secreted as inactive proproteins which are activated when cleaved by extracellular proteinases. The protein encoded by this gene cleaves type II collagen more efficiently than types I and III. It may be involved in articular cartilage turnover and cartilage pathophysiology associated with osteoarthritis. The gene is part of a cluster of MMP genes which localize to chromosome 11q22.3. [provided by RefSeq, Jul 2008].




| 应用 | 已检合格种属 | 预测种属 | 推荐稀释比例 |
|---|---|---|---|
| WB | Human | Mouse, Rat, Rabbit | 1:500-2000 |
| IHC-P | Human, Mouse, Rat | Rabbit | 1:100-500 |
| IHC-F | Human, Mouse, Rat | Rabbit | 1:100-500 |
| IF | Human, Mouse, Rat | Rabbit | 1:100-500 |
交叉反应: Human, Mouse, Rat (predicted: Rabbit)
暂无相关产品